GET /conditions/?format=api
HTTP 200 OK
Allow: GET, POST, HEAD, OPTIONS
Content-Type: application/json
Vary: Accept

[
    {
        "id": 4,
        "url": "https://cclm.media-doc.io/conditions/4/?format=api",
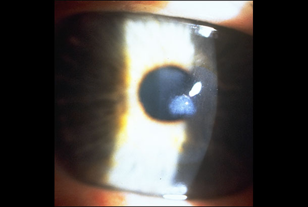
        "name": "Blebs (Endothelial)",
        "category": "Cornea",
        "detail": "<p>Endothelial edema</p>\n\n<h2>Symptoms</h2>\n\n<ul>\n\t<li>None</li>\n</ul>\n\n<h2>Signs</h2>\n\n<ul>\n\t<li>Black spots which appear to be &ldquo;holes&rdquo; on endothelium when viewed with specular reflection</li>\n\t<li>Intracellular edema of endothelial cells</li>\n\t<li>Maximum response occurs 10-20 minutes after lens insertion.</li>\n\t<li>Reduction in response occurs over initial weeks of lens wear.</li>\n</ul>\n\n<h2>Etiology</h2>\n\n<ul>\n\t<li>Local decrease in pH, associated with hypoxia and carbon dioxide build-up</li>\n\t<li>Typically occurs in unadapted wearers. Degree related to oxygen transmissibility of the lens material</li>\n</ul>\n\n<h2>Prevalence</h2>\n\n<ul>\n\t<li>Occasional</li>\n</ul>\n\n<h2>Differential Diagnosis</h2>\n\n<ul>\n\t<li><a href=\"/condition/62/\">Guttata</a></li>\n\t<li>See: <a href=\"/condition/62/\">Endothelial Changes &ndash; Differential Diagnosis</a></li>\n</ul>\n\n<h2>Management</h2>\n\n<ul>\n\t<li>No action required</li>\n\t<li>May consider refit into SiHy or high Dk GP lenses if response is severe</li>\n</ul>",
        "images": [
            {
                "name": "Blebs (Endothelial)",
                "file": "https://cclm-static.s3.amazonaws.com/images/endothelial-bleb_zoom.jpg"
            }
        ],
        "type": 1,
        "videos": [],
        "wear": false,
        "ceaseWear": false,
        "changeLens": true,
        "changeSolutions": false,
        "changeCare": false,
        "counseling": false,
        "dd": false,
        "dw": false,
        "gp": false,
        "replace": false,
        "review": false,
        "rewettingDrops": false,
        "rx": false,
        "SiHy": true,
        "toric": false,
        "tags": []
    },
    {
        "id": 10,
        "url": "https://cclm.media-doc.io/conditions/10/?format=api",
        "name": "Dimple Veiling",
        "category": "Cornea",
        "detail": "<p>Staining</p>\n\n<h2>Symptoms</h2>\n\n<ul>\n\t<li>None to mild irritation</li>\n\t<li>May disturb vision if on visual axis</li>\n</ul>\n\n<h2>Signs</h2>\n\n<ul>\n\t<li>Indentations display un-reversed illumination with white light illumination</li>\n\t<li>Multiple, focal areas of sodium fluorescein pooling</li>\n</ul>\n\n<h2>Etiology</h2>\n\n<ul>\n\t<li>Indentations of epithelium resulting from air bubbles (rigid lenses) or mucin balls (soft lenses) trapped under lenses</li>\n\t<li>Most frequently seen with ill-fitting GP lenses (air bubbles) or SiHy lenses (mucin balls)</li>\n\t<li>In GPs, observed centrally with excessive pooling and peripherally with excessive edge lift</li>\n</ul>\n\n<h2>Prevalence</h2>\n\n<ul>\n\t<li>Occasional</li>\n</ul>\n\n<h2>Differential Diagnosis</h2>\n\n<ul>\n\t<li>See: <a href=\"/condition/65\">Epithelial Fluorescein Staining &ndash; Differential</a></li>\n</ul>\n\n<h2>Management</h2>\n\n<ul>\n\t<li>Refit GP lens with closer alignment to corneal shape</li>\n\t<li>Flatter BOZR, smaller TD, change to toric back surface</li>\n\t<li>Lens lubricants with EW SiHy, choose a lens with lower modulus</li>\n</ul>",
        "images": [
            {
                "name": "Dimple Veiling",
                "file": "https://cclm-static.s3.amazonaws.com/images/dimple-veiling_zoom.jpg"
            }
        ],
        "type": 1,
        "videos": [],
        "wear": true,
        "ceaseWear": false,
        "changeLens": true,
        "changeSolutions": false,
        "changeCare": false,
        "counseling": false,
        "dd": false,
        "dw": false,
        "gp": false,
        "replace": false,
        "review": false,
        "rewettingDrops": false,
        "rx": false,
        "SiHy": false,
        "toric": false,
        "tags": []
    },
    {
        "id": 5,
        "url": "https://cclm.media-doc.io/conditions/5/?format=api",
        "name": "Limbal Hyperemia",
        "category": "Limbus",
        "detail": "<p>Limbal engorgement, limbal redness</p>\n\n<h2>Symptoms</h2>\n\n<ul>\n\t<li>Generally none</li>\n\t<li>May experience mild discomfort</li>\n</ul>\n\n<h2>Signs</h2>\n\n<ul>\n\t<li>Vessel engorgement in limbal region</li>\n</ul>\n\n<h2>Etiology</h2>\n\n<ul>\n\t<li>Association with hypoxia in low Dk/t soft lens wearers</li>\n\t<li>Other inflammatory, chemical, osmotic, physical or irritating stimuli can also produce limbal hyperemia</li>\n</ul>\n\n<h2>Prevalence</h2>\n\n<ul>\n\t<li>Common. Severe forms are rare</li>\n</ul>\n\n<h2>Differential Diagnosis</h2>\n\n<ul>\n\t<li><a href=\"/condition/39\">Vascularization of the cornea</a>&nbsp;(i.e, new vessel growth)</li>\n\t<li>Vascularized limbal keratitis</li>\n\t<li>Superior limbal keratoconjunctivitis</li>\n\t<li>Uveitis</li>\n\t<li>Acute glaucoma</li>\n\t<li>Keratitis</li>\n\t<li><a href=\"/condition/63\">See: Hyperemia and Vascularization &ndash; Differential Diagnosis</a></li>\n</ul>\n\n<h2>Management</h2>\n\n<ul>\n\t<li>Improve peripheral corneal oxygenation (e.g, refit with SiHy lens)</li>\n\t<li>Reduce wearing time if previously wearing excessively</li>\n\t<li>Failure to remove the stimulus may lead to vascularization of the cornea</li>\n</ul>",
        "images": [
            {
                "name": "Limbal Hyperemia",
                "file": "https://cclm-static.s3.amazonaws.com/images/hyperemia-limbal-01_zoom.jpg"
            },
            {
                "name": "Limbal Hyperemia",
                "file": "https://cclm-static.s3.amazonaws.com/images/hyperemia-limbal-02_zoom.jpg"
            }
        ],
        "type": 1,
        "videos": [],
        "wear": true,
        "ceaseWear": false,
        "changeLens": true,
        "changeSolutions": false,
        "changeCare": false,
        "counseling": false,
        "dd": false,
        "dw": false,
        "gp": false,
        "replace": false,
        "review": false,
        "rewettingDrops": false,
        "rx": false,
        "SiHy": true,
        "toric": false,
        "tags": []
    },
    {
        "id": 8,
        "url": "https://cclm.media-doc.io/conditions/8/?format=api",
        "name": "Vascularized Limbal Keratitis (VLK)",
        "category": "Limbus",
        "detail": "<h2>Symptoms</h2>\n\n<ul>\n\t<li>Patient may notice red area at limbus</li>\n\t<li>Slight stinging or irritation may be reported</li>\n</ul>\n\n<h2>Signs</h2>\n\n<ul>\n\t<li>Superficial vascularized lesion of the corneal periphery at the 3 and/or 9 o&rsquo;clock locations</li>\n\t<li>Wing shaped, raised lesion encroaching the cornea from the bulbar conjunctiva</li>\n</ul>\n\n<h2>Etiology</h2>\n\n<ul>\n\t<li>Sequellae to chronic inflammation in GP wearers</li>\n\t<li>Inadequate tear film and wetting result in punctate epithelial keratopathy</li>\n</ul>\n\n<h2>Prevalence</h2>\n\n<ul>\n\t<li>Rare</li>\n</ul>\n\n<h2>Differential Diagnosis</h2>\n\n<ul>\n\t<li>Pterygium (degenerative and hyperplastic condition in which the conjunctiva actively invades the cornea)</li>\n\t<li>See: <a href=\"/condition/63\">Hyperemia and Vascularization &ndash; Differential Diagnosis</a></li>\n</ul>\n\n<h2>Management</h2>\n\n<ul>\n\t<li>Eliminate 3 and 9 o&#39;clock staining through modification of the GP design</li>\n\t<li>Change to soft lenses, daily disposable or SiHy</li>\n\t<li>Use rewetting drops or reduce wearing time</li>\n</ul>",
        "images": [
            {
                "name": "Vascularized Limbal Keratitis (VLK)",
                "file": "https://cclm-static.s3.amazonaws.com/images/vlk-02.jpg"
            },
            {
                "name": "Vascularized Limbal Keratitis (VLK)",
                "file": "https://cclm-static.s3.amazonaws.com/images/vlk-01.jpg"
            }
        ],
        "type": 1,
        "videos": [],
        "wear": true,
        "ceaseWear": false,
        "changeLens": true,
        "changeSolutions": false,
        "changeCare": false,
        "counseling": false,
        "dd": true,
        "dw": false,
        "gp": false,
        "replace": false,
        "review": false,
        "rewettingDrops": true,
        "rx": false,
        "SiHy": true,
        "toric": false,
        "tags": []
    },
    {
        "id": 15,
        "url": "https://cclm.media-doc.io/conditions/15/?format=api",
        "name": "Corneal Erosion",
        "category": "Cornea",
        "detail": "<h2>Symptoms</h2>\n\n<ul>\n\t<li>May be asymptomatic</li>\n\t<li>Deeper erosions will result in discomfort, pain, photophobia, and/or foreign body sensation</li>\n</ul>\n\n<h2>Signs</h2>\n\n<ul>\n\t<li>Patch or area of coalesced sodium fluorescein staining</li>\n\t<li>Generally irregular shape</li>\n</ul>\n\n<h2>Etiology</h2>\n\n<ul>\n\t<li>May occur as a result of binding of lenses (often during EW)</li>\n</ul>\n\n<h2>Prevalence</h2>\n\n<ul>\n\t<li>Occasional</li>\n</ul>\n\n<h2>Differential Diagnosis</h2>\n\n<ul>\n\t<li>See: <a href=\"/condition/65\">Epithelial Fluorescein Staining &ndash; Differential Diagnosis</a></li>\n\t<li><a href=\"/condition/24\">Microbial keratitis</a>,&nbsp;<a href=\"/condition/6\">CLPU</a>,&nbsp;<a href=\"/condition/1\">abrasion</a></li>\n</ul>\n\n<h2>Management</h2>\n\n<ul>\n\t<li>Cease lens wear for at least 24 hours or longer if a full epithelial thickness erosion</li>\n\t<li>Reduce wearing time if EW</li>\n\t<li>Consider lower modulus material</li>\n\t<li>Consider topical prophylactic antibiotic</li>\n\t<li>Rewetting drops</li>\n</ul>",
        "images": [
            {
                "name": "Corneal Erosion",
                "file": "https://cclm-static.s3.amazonaws.com/images/erosion-01_zoom.jpg"
            },
            {
                "name": "Corneal Erosion",
                "file": "https://cclm-static.s3.amazonaws.com/images/erosion-02_zoom.jpg"
            }
        ],
        "type": 1,
        "videos": [
            {
                "name": "Erosion – White Light",
                "videoSrc": "255598871"
            }
        ],
        "wear": false,
        "ceaseWear": true,
        "changeLens": true,
        "changeSolutions": false,
        "changeCare": false,
        "counseling": false,
        "dd": false,
        "dw": false,
        "gp": false,
        "replace": false,
        "review": false,
        "rewettingDrops": true,
        "rx": true,
        "SiHy": false,
        "toric": false,
        "tags": []
    },
    {
        "id": 17,
        "url": "https://cclm.media-doc.io/conditions/17/?format=api",
        "name": "Foreign Body Tracking",
        "category": "Cornea",
        "detail": "<h2>Symptoms</h2>\n\n<ul>\n\t<li>May be asymptomatic</li>\n\t<li>Discomfort (mild to moderate)</li>\n</ul>\n\n<h2>Signs</h2>\n\n<ul>\n\t<li>Characteristic superficial linear disruption to corneal epithelium</li>\n\t<li>Typically unilateral</li>\n</ul>\n\n<h2>Etiology</h2>\n\n<ul>\n\t<li>Epithelial abrasion due to presence of foreign body under a lens, damaged lens, make-up brush, incorrect insertion/removal techniques</li>\n</ul>\n\n<h2>Prevalence</h2>\n\n<ul>\n\t<li>Occasional. More common with rigid lens wear</li>\n</ul>\n\n<h2>Differential Diagnosis</h2>\n\n<ul>\n\t<li>Other&nbsp;<a href=\"/condition/65\">staining patterns</a></li>\n\t<li>See: <a href=\"/condition/65\">Epithelial Fluorescein Staining &ndash; Differential Diagnosis</a></li>\n</ul>\n\n<h2>Management</h2>\n\n<ul>\n\t<li>Avoid predisposing environments</li>\n\t<li>Use sunglasses or other eye protection when GP lenses are worn out of doors to keep wind out of eyes</li>\n\t<li>Remove lens, leave out for the rest of the day</li>\n\t<li>Re-teach insertion and removal</li>\n\t<li>Replace damaged lens</li>\n\t<li>Consider topical prophylactic antibiotic</li>\n</ul>",
        "images": [
            {
                "name": "Foreign Body Tracking",
                "file": "https://cclm-static.s3.amazonaws.com/images/foreign-body-tracking_zoom.jpg"
            }
        ],
        "type": 1,
        "videos": [],
        "wear": false,
        "ceaseWear": true,
        "changeLens": false,
        "changeSolutions": false,
        "changeCare": false,
        "counseling": true,
        "dd": false,
        "dw": false,
        "gp": false,
        "replace": false,
        "review": true,
        "rewettingDrops": false,
        "rx": false,
        "SiHy": false,
        "toric": false,
        "tags": []
    },
    {
        "id": 74,
        "url": "https://cclm.media-doc.io/conditions/74/?format=api",
        "name": "H. Sclerotic Scatter",
        "category": "Biomicroscope",
        "detail": "<h2>&nbsp;</h2>\n\n<h2>Overview</h2>\n\n<ul>\n\t<li>The technique uses&nbsp;total internal reflection of the cornea</li>\n\t<li>It allows the cornea to be assessed for the presence of edema or corneal opacities</li>\n\t<li>The illumination and observation systems are uncoupled</li>\n</ul>\n\n<p>&nbsp;</p>\n\n<h2>Set Up</h2>\n\n<ul>\n\t<li>The illumination system is uncoupled from the observation system</li>\n\t<li>Low magnification is used</li>\n\t<li>A moderate width light beam is directed at the limbus</li>\n\t<li>The observation system is focussed on the central cornea</li>\n\t<li>When total internal reflection is acheived, the whole limbus is illuminated</li>\n</ul>\n\n<p>&nbsp;</p>\n\n<h2>Useful when assessing</h2>\n\n<ul>\n\t<li><a href=\"/condition/14\">Corneal Edema - Stromal</a></li>\n\t<li><a href=\"/condition/27\">Corneal Opacities</a></li>\n</ul>\n\n<p>&nbsp;</p>\n\n<p>&nbsp;</p>",
        "images": [
            {
                "name": "Sclerotic Scatter",
                "file": "https://cclm-static.s3.amazonaws.com/images/CORE_Sclerotic_scatter.png"
            }
        ],
        "type": 1,
        "videos": [
            {
                "name": "Sclerotic Scatter",
                "videoSrc": "267434986"
            }
        ],
        "wear": false,
        "ceaseWear": false,
        "changeLens": false,
        "changeSolutions": false,
        "changeCare": false,
        "counseling": false,
        "dd": false,
        "dw": false,
        "gp": false,
        "replace": false,
        "review": false,
        "rewettingDrops": false,
        "rx": false,
        "SiHy": false,
        "toric": false,
        "tags": [
            {
                "id": 7,
                "url": "https://cclm.media-doc.io/tags/7/?format=api",
                "name": "conditions"
            }
        ]
    },
    {
        "id": 29,
        "url": "https://cclm.media-doc.io/conditions/29/?format=api",
        "name": "Conjunctival Indentation",
        "category": "Conjunctiva",
        "detail": "<p>Furrow staining</p>\n\n<h2>Symptoms</h2>\n\n<ul>\n\t<li>Often asymptomatic</li>\n</ul>\n\n<h2>Signs</h2>\n\n<ul>\n\t<li>Arc of fluorescein which pools into area of depressed tissue</li>\n\t<li>Best viewed with sodium fluorescein, cobalt blue filter, and yellow Wratten filter #12</li>\n\t<li>Location corresponds to the circumference of the contact lens</li>\n</ul>\n\n<h2>Etiology</h2>\n\n<ul>\n\t<li>Factors that contribute to indentation include: high lens modulus, sharp edge design, tight lens fit, and overnight wearing modality</li>\n\t<li>Pressure from upper lid contributes to a greater amount of indentation in the superior quadrant</li>\n\t<li>May indicate poor tear exchange behind lens if indentation is a complete annulus</li>\n</ul>\n\n<h2>Prevalence</h2>\n\n<ul>\n\t<li>Occasional</li>\n</ul>\n\n<h2>Differential Diagnosis</h2>\n\n<ul>\n\t<li><a href=\"/condition/32\">Conjunctival staining</a></li>\n\t<li><a href=\"/condition/21\">Conjunctival flaps</a></li>\n\t<li><a href=\"/condition/36\">SEAL</a></li>\n</ul>\n\n<h2>Management</h2>\n\n<ul>\n\t<li>Reduce frequency of overnight wear</li>\n\t<li>Refit with lower modulus material, a looser base curve or a different lens edge design</li>\n\t<li>If lens dehydration is suspected, consider using rewetting drops</li>\n</ul>",
        "images": [
            {
                "name": "Conjunctival Indentation",
                "file": "https://cclm-static.s3.amazonaws.com/images/furrow-staining.jpg"
            }
        ],
        "type": 1,
        "videos": [],
        "wear": false,
        "ceaseWear": false,
        "changeLens": true,
        "changeSolutions": false,
        "changeCare": false,
        "counseling": false,
        "dd": false,
        "dw": true,
        "gp": false,
        "replace": false,
        "review": false,
        "rewettingDrops": true,
        "rx": false,
        "SiHy": false,
        "toric": false,
        "tags": []
    },
    {
        "id": 50,
        "url": "https://cclm.media-doc.io/conditions/50/?format=api",
        "name": "Deposits – Calculi",
        "category": "Contact Lens",
        "detail": "<p>Jelly bumps</p>\n\n<h2>Symptoms</h2>\n\n<ul>\n\t<li>None to moderate discomfort</li>\n</ul>\n\n<h2>Signs</h2>\n\n<ul>\n\t<li>Focal, gelatinous amorphous lump(s) on lens surface</li>\n</ul>\n\n<h2>Etiology</h2>\n\n<ul>\n\t<li>Focal deposits on lens consisting of mainly lipids and calcium</li>\n\t<li>More common with high water lenses (especially FDA group II that contain NVP) and SiHy lenses</li>\n\t<li>Care regimen may be implicated as less likely if lenses used with surfactant-containing regimen and rubbed</li>\n\t<li>Lens calculi are rare with disposable lenses if the patient is replacing the lenses at the appropriate interval</li>\n</ul>\n\n<h2>Prevalence</h2>\n\n<ul>\n\t<li>Occasional. Very rare with FDA group IV ionic materials</li>\n</ul>\n\n<h2>Differential Diagnosis</h2>\n\n<ul>\n\t<li><a href=\"/condition/54\">Protein deposits</a></li>\n\t<li>Lipid film</li>\n\t<li>See:&nbsp;<a href=\"/condition/60\">Contact Lens Changes &ndash; Differential Diagnosis</a></li>\n</ul>\n\n<h2>Management</h2>\n\n<ul>\n\t<li>New lens of different material &ndash; avoid high water NVP-containing materials and SiHy if occur</li>\n\t<li>Alter lens care regimen</li>\n\t<li>Advise on compliance with cleaning procedures and lens replacement</li>\n</ul>",
        "images": [
            {
                "name": "Deposits – Calculi",
                "file": "https://cclm-static.s3.amazonaws.com/images/lens-calculi-deposits-01.jpg"
            },
            {
                "name": "Deposits – Calculi",
                "file": "https://cclm-static.s3.amazonaws.com/images/lens-calculi-deposits-02.jpg"
            }
        ],
        "type": 1,
        "videos": [
            {
                "name": "Deposits (Lens Calculi)",
                "videoSrc": "248362022"
            },
            {
                "name": "Deposits (Lens Calculi)",
                "videoSrc": "248362022"
            },
            {
                "name": "Deposits (Calculi)",
                "videoSrc": "248362041"
            }
        ],
        "wear": false,
        "ceaseWear": false,
        "changeLens": true,
        "changeSolutions": false,
        "changeCare": true,
        "counseling": true,
        "dd": true,
        "dw": false,
        "gp": false,
        "replace": false,
        "review": false,
        "rewettingDrops": false,
        "rx": false,
        "SiHy": false,
        "toric": false,
        "tags": []
    },
    {
        "id": 52,
        "url": "https://cclm.media-doc.io/conditions/52/?format=api",
        "name": "Deposits – Inorganic",
        "category": "Contact Lens",
        "detail": "<p>Inorganic film</p>\n\n<h2>Symptoms</h2>\n\n<ul>\n\t<li>Patient may notice spots on lens</li>\n\t<li>Discomfort, reduced vision</li>\n</ul>\n\n<h2>Signs</h2>\n\n<ul>\n\t<li>Accumulation of inorganic material on soft lens surface</li>\n\t<li>Visible film or focal spots on lens with dark field illumination</li>\n</ul>\n\n<h2>Etiology</h2>\n\n<ul>\n\t<li>More common in FDA Group II hydrogels and may be from poor tear film quality, or disinfection procedure</li>\n\t<li>Environmental contaminants, i.e. rust spots from metallic debris</li>\n</ul>\n\n<h2>Prevalence</h2>\n\n<ul>\n\t<li>Infrequent</li>\n</ul>\n\n<h2>Differential Diagnosis</h2>\n\n<ul>\n\t<li>Distinguish from protein film by texture, uniformity and color</li>\n\t<li>See:&nbsp;<a href=\"/condition/60\">Contact Lens Changes &ndash; Differential Diagnosis</a></li>\n</ul>\n\n<h2>Management</h2>\n\n<ul>\n\t<li>Replace lens if necessary</li>\n\t<li>Change lens material</li>\n\t<li>Review rub and rinse routine</li>\n\t<li>Switch to solution with surfactant</li>\n\t<li>Attempt to identify source of contamination</li>\n\t<li>Consider switching to DD lenses</li>\n</ul>",
        "images": [
            {
                "name": "Deposits – Inorganic",
                "file": "https://cclm-static.s3.amazonaws.com/images/inorganic-deposits.jpg"
            }
        ],
        "type": 1,
        "videos": [],
        "wear": false,
        "ceaseWear": false,
        "changeLens": true,
        "changeSolutions": false,
        "changeCare": true,
        "counseling": true,
        "dd": true,
        "dw": false,
        "gp": false,
        "replace": false,
        "review": false,
        "rewettingDrops": false,
        "rx": false,
        "SiHy": false,
        "toric": false,
        "tags": []
    },
    {
        "id": 53,
        "url": "https://cclm.media-doc.io/conditions/53/?format=api",
        "name": "Deposits – Lipid",
        "category": "Contact Lens",
        "detail": "<h2>Symptoms</h2>\n\n<ul>\n\t<li>None to mild discomfort, reduced vision</li>\n</ul>\n\n<h2>Signs</h2>\n\n<ul>\n\t<li>Shimmering, oily film on the lens surface</li>\n</ul>\n\n<h2>Etiology</h2>\n\n<ul>\n\t<li>Accumulation of lipid on soft lens surface</li>\n\t<li>More common in SiHy and FDA Group II hydrogels</li>\n\t<li>May be from poor tear film quality exacerbated by lid margin disease</li>\n\t<li>Skin care products may deposit on lens during lens handling</li>\n</ul>\n\n<h2>Prevalence</h2>\n\n<ul>\n\t<li>Common</li>\n</ul>\n\n<h2>Differential Diagnosis</h2>\n\n<ul>\n\t<li>Separate from protein film by texture, uniformity and color</li>\n\t<li>See:&nbsp;<a href=\"/condition/60\">Contact Lens Changes &ndash; Differential Diagnosis</a></li>\n</ul>\n\n<h2>Management</h2>\n\n<ul>\n\t<li>Consider switching to DD lenses</li>\n\t<li>Change lens material</li>\n\t<li>Review rub and rinse routine</li>\n\t<li>Switch to solution with surfactant</li>\n</ul>",
        "images": [
            {
                "name": "Deposits – Lipid",
                "file": "https://cclm-static.s3.amazonaws.com/images/deposits-lipid.jpg"
            }
        ],
        "type": 1,
        "videos": [
            {
                "name": "Deposits (Lipid)",
                "videoSrc": "248362030"
            }
        ],
        "wear": false,
        "ceaseWear": false,
        "changeLens": false,
        "changeSolutions": false,
        "changeCare": true,
        "counseling": true,
        "dd": true,
        "dw": false,
        "gp": false,
        "replace": false,
        "review": false,
        "rewettingDrops": false,
        "rx": false,
        "SiHy": false,
        "toric": false,
        "tags": []
    },
    {
        "id": 19,
        "url": "https://cclm.media-doc.io/conditions/19/?format=api",
        "name": "Fungal Keratitis",
        "category": "Cornea",
        "detail": "<p><em>Fusarium</em>&nbsp;keratitis,&nbsp;<em>Aspergillus</em>&nbsp;keratitis ,&nbsp;<em>Candida</em>&nbsp;keratitis</p>\n\n<h2>Symptoms</h2>\n\n<ul>\n\t<li>Acute severe pain</li>\n\t<li>Extreme redness</li>\n\t<li>Epiphora and photophobia</li>\n\t<li>No improvement with lens removal</li>\n</ul>\n\n<h2>Signs</h2>\n\n<ul>\n\t<li>Typically unilateral</li>\n\t<li>Localized corneal infiltration, often with feathery margins and elevated edges. Satellite lesions may also be present</li>\n\t<li>Penetration of infiltrate into the stroma with surrounding edema.</li>\n\t<li>Hypopyon</li>\n\t<li>Anterior chamber reaction</li>\n\t<li>Severe hyperemia and possibly lid edema</li>\n</ul>\n\n<h2>Etiology</h2>\n\n<ul>\n\t<li>May follow trauma (generally with plant material) to the cornea</li>\n\t<li>Inappropriate use of care systems (e.g. topping off, poor case hygiene) may result in product contamination by&nbsp;<em>Fusarium spp</em>.</li>\n</ul>\n\n<h2>Prevalence</h2>\n\n<ul>\n\t<li>Very rare</li>\n</ul>\n\n<h2>Differential Diagnosis</h2>\n\n<ul>\n\t<li><a href=\"/condition/2\">Acanthamoeba&nbsp;infection</a></li>\n\t<li><a href=\"/condition/24\">Microbial (bacterial) keratitis</a></li>\n\t<li><a href=\"/condition/20\">Corneal Infiltrates</a>,&nbsp;<a href=\"/condition/6\">CLPU</a>&nbsp;and other&nbsp;<a href=\"/condition/65\">staining patterns</a></li>\n\t<li>See: <a href=\"/condition/66\">Infiltrates and Opacities &ndash; Differential Diagnosis</a></li>\n</ul>\n\n<h2>Management</h2>\n\n<ul>\n\t<li>Cease lens wear immediately</li>\n\t<li>Consider culturing before initiating antimicrobial therapy, particularly for large central ulcers</li>\n\t<li>Instigate topical antifungal treatment</li>\n\t<li>Deeper infections may require systemic antifungal medication</li>\n\t<li>Treatment may be required for several months</li>\n</ul>",
        "images": [
            {
                "name": "Fungal Keratitis",
                "file": "https://cclm-static.s3.amazonaws.com/images/fungal-keratitis_zoom.jpg"
            }
        ],
        "type": 1,
        "videos": [],
        "wear": true,
        "ceaseWear": true,
        "changeLens": true,
        "changeSolutions": false,
        "changeCare": false,
        "counseling": false,
        "dd": false,
        "dw": false,
        "gp": false,
        "replace": false,
        "review": false,
        "rewettingDrops": false,
        "rx": false,
        "SiHy": true,
        "toric": false,
        "tags": []
    },
    {
        "id": 21,
        "url": "https://cclm.media-doc.io/conditions/21/?format=api",
        "name": "Conjunctival Flap",
        "category": "Conjunctiva",
        "detail": "<h2>Symptoms</h2>\n\n<ul>\n\t<li>Often asymptomatic</li>\n\t<li>May experience contact lens discomfort</li>\n</ul>\n\n<h2>Signs</h2>\n\n<ul>\n\t<li>Areas of loose conjunctival tissue, often along an area of indentation</li>\n\t<li>Best viewed with sodium fluorescein, cobalt blue filter, and yellow Wratten filter #12</li>\n\t<li>Conjunctival region between the flap and the limbus may be irregular, while the region beyond the flap is smooth</li>\n\t<li>More likely observed in the superior and inferior quadrants</li>\n\t<li>Resolves within one week of no lens wear</li>\n</ul>\n\n<h2>Etiology</h2>\n\n<ul>\n\t<li>Lens edge interaction with conjunctival surface delaminates superficial epithelial cells, subsequent blinking and lens movement push the detached sheets of cells into adjacent areas of loose tissue</li>\n\t<li>More common with CW of high modulus SiHy lenses</li>\n</ul>\n\n<h2>Prevalence</h2>\n\n<ul>\n\t<li>Occasional</li>\n</ul>\n\n<h2>Differential Diagnosis</h2>\n\n<ul>\n\t<li><a href=\"/condition/32\">Conjunctival staining</a></li>\n\t<li><a href=\"/condition/29\">Conjunctival indentation</a></li>\n\t<li><a href=\"/condition/43\">LIPCOF</a></li>\n</ul>\n\n<h2>Management</h2>\n\n<ul>\n\t<li>Switch from CW to DW</li>\n\t<li>Refit with a lens of lower modulus and/or rounded edge design</li>\n</ul>",
        "images": [
            {
                "name": "Conjunctival Flap",
                "file": "https://cclm-static.s3.amazonaws.com/images/con-flap.jpg"
            }
        ],
        "type": 1,
        "videos": [],
        "wear": true,
        "ceaseWear": false,
        "changeLens": true,
        "changeSolutions": false,
        "changeCare": false,
        "counseling": false,
        "dd": false,
        "dw": true,
        "gp": false,
        "replace": false,
        "review": false,
        "rewettingDrops": false,
        "rx": false,
        "SiHy": false,
        "toric": false,
        "tags": []
    },
    {
        "id": 22,
        "url": "https://cclm.media-doc.io/conditions/22/?format=api",
        "name": "Intracorneal Hemorrhage",
        "category": "Cornea",
        "detail": "<h2>Symptoms</h2>\n\n<ul>\n\t<li>Typically none. Patient may observe red spot on cornea</li>\n</ul>\n\n<h2>Signs</h2>\n\n<ul>\n\t<li>Hemorrhage located near vascularized area of cornea</li>\n\t<li>Hemorrhage may be superficial or deep stromal</li>\n\t<li>Area of opacification remains on resolution of hemorrhage</li>\n</ul>\n\n<h2>Etiology</h2>\n\n<ul>\n\t<li>A complication of vascularization</li>\n\t<li>May be history of previous corneal disease, trauma, or infection around the site of the lesion, which resulted in the growth of the abnormal blood vessels into the cornea</li>\n</ul>\n\n<h2>Prevalence</h2>\n\n<ul>\n\t<li>Very rare</li>\n</ul>\n\n<h2>Differential Diagnosis</h2>\n\n<ul>\n\t<li><a href=\"/condition/39\">Vascularization</a></li>\n\t<li><a href=\"/condition/66\">See: Infiltrates and Opacities &ndash; Differential Diagnosis</a></li>\n</ul>\n\n<h2>Management</h2>\n\n<ul>\n\t<li>Superficial hemorrhage will resolve within 2 weeks following cessation of lens wear with minimal effect on vision or future lens wear</li>\n\t<li>Change to high Dk/t soft or GP lens</li>\n\t<li>Cease lens wear if deep stromal hemorrhage observed</li>\n</ul>",
        "images": [
            {
                "name": "Intracorneal Hemorrhage",
                "file": "https://cclm-static.s3.amazonaws.com/images/intracorneal-hemorrhage_zoom.jpg"
            }
        ],
        "type": 1,
        "videos": [],
        "wear": false,
        "ceaseWear": true,
        "changeLens": true,
        "changeSolutions": false,
        "changeCare": false,
        "counseling": false,
        "dd": false,
        "dw": false,
        "gp": false,
        "replace": false,
        "review": true,
        "rewettingDrops": false,
        "rx": false,
        "SiHy": true,
        "toric": false,
        "tags": []
    },
    {
        "id": 27,
        "url": "https://cclm.media-doc.io/conditions/27/?format=api",
        "name": "Opacities",
        "category": "Cornea",
        "detail": "<p>Stromal scar</p>\n\n<h2>Symptoms</h2>\n\n<ul>\n\t<li>None if opacity is small and peripheral</li>\n\t<li>Decreased vision and photophobia for larger, more central opacities</li>\n</ul>\n\n<h2>Signs</h2>\n\n<ul>\n\t<li>Opaque area within the stroma</li>\n\t<li>Staining may occur if lesion is active. True &ldquo;scar&rdquo; does not stain, but may pool fluorescein if the area has a depression associated with it</li>\n\t<li>Absence of accompanying signs</li>\n</ul>\n\n<h2>Etiology</h2>\n\n<ul>\n\t<li>Corneal opacification may result from a variety of inflammatory conditions, previous corneal surgery, or trauma affecting the stroma</li>\n\t<li>Damage to the stroma will usually leave a residual scar</li>\n\t<li>Opacity may be long-standing and of no relevance to current wearing habits</li>\n</ul>\n\n<h2>Prevalence</h2>\n\n<ul>\n\t<li>Occasional</li>\n</ul>\n\n<h2>Differential Diagnosis</h2>\n\n<ul>\n\t<li><a href=\"/condition/66\">See: Infiltrates and Opacities &ndash; Differential Diagnosis</a></li>\n</ul>\n\n<h2>Management</h2>\n\n<ul>\n\t<li>Determine if active inflammation is present and treat cause</li>\n\t<li>The presence of an inactive region of opacification requires no treatment</li>\n\t<li>Size and location of the opacity must be documented for future reference</li>\n\t<li>Presence of scars may indicate increased risk for future inflammatory complications. Wearing and visit schedule should be monitored appropriately</li>\n</ul>",
        "images": [
            {
                "name": "Opacities",
                "file": "https://cclm-static.s3.amazonaws.com/images/stromal-scar-opacity_zoom.jpg"
            }
        ],
        "type": 1,
        "videos": [
            {
                "name": "Central Scarring with Semi-Scleral Contact Lens",
                "videoSrc": "248361998"
            }
        ],
        "wear": false,
        "ceaseWear": false,
        "changeLens": false,
        "changeSolutions": false,
        "changeCare": false,
        "counseling": true,
        "dd": false,
        "dw": false,
        "gp": false,
        "replace": false,
        "review": false,
        "rewettingDrops": false,
        "rx": false,
        "SiHy": false,
        "toric": false,
        "tags": []
    },
    {
        "id": 28,
        "url": "https://cclm.media-doc.io/conditions/28/?format=api",
        "name": "Polymegethism",
        "category": "Cornea",
        "detail": "<h2>Symptoms</h2>\n\n<ul>\n\t<li>None</li>\n</ul>\n\n<h2>Signs</h2>\n\n<ul>\n\t<li>Variation in cell size and cell shape (pleomorphism) of the endothelium; seen with high magnification (40x) in the endothelial specular reflection</li>\n</ul>\n\n<h2>Etiology</h2>\n\n<ul>\n\t<li>Thought to result from chronic hypoxia causing corneal acidosis following wear of lens with a low Dk/t</li>\n\t<li>Common in long-term wearers, especially of PMMA and low Dk/t hydrogel lenses</li>\n</ul>\n\n<h2>Prevalence</h2>\n\n<ul>\n\t<li>Rare with modern materials</li>\n</ul>\n\n<h2>Differential Diagnosis</h2>\n\n<ul>\n\t<li>Other&nbsp;<a href=\"/condition/62\">endothelial anomalies</a>&nbsp;and corneal dystrophies</li>\n\t<li>See: <a href=\"/condition/62\">Endothelial Changes &ndash; Differential Diagnosis</a></li>\n\t<li><a href=\"/condition/61\">Corneal Exhaustion Syndrome</a></li>\n</ul>\n\n<h2>Management</h2>\n\n<ul>\n\t<li>Refit with a lens of high Dk/t (SiHy), or change to DW / reduce wearing time</li>\n</ul>",
        "images": [
            {
                "name": "Polymegethism",
                "file": "https://cclm-static.s3.amazonaws.com/images/polymegethism_zoom.gif"
            }
        ],
        "type": 1,
        "videos": [],
        "wear": true,
        "ceaseWear": false,
        "changeLens": false,
        "changeSolutions": false,
        "changeCare": false,
        "counseling": false,
        "dd": false,
        "dw": true,
        "gp": false,
        "replace": false,
        "review": false,
        "rewettingDrops": false,
        "rx": false,
        "SiHy": true,
        "toric": false,
        "tags": []
    },
    {
        "id": 25,
        "url": "https://cclm.media-doc.io/conditions/25/?format=api",
        "name": "Corneal Microcysts and Vacuoles",
        "category": "Cornea",
        "detail": "<h2>Symptoms</h2>\n\n<ul>\n\t<li>Generally none</li>\n\t<li>May be mild irritation or hazing of vision</li>\n</ul>\n\n<h2>Signs</h2>\n\n<ul>\n\t<li>Microcysts show reversed illumination in marginal retro illumination (higher refractive index of necrotic cells)</li>\n\t<li>Vacuoles show non-reversed illumination and are larger and more rounded</li>\n\t<li>Punctate staining may be seen</li>\n</ul>\n\n<h2>Etiology</h2>\n\n<ul>\n\t<li>Microcysts are incompletely formed cells which move through the epithelium with normal cellular turnover</li>\n\t<li>Due to chronic hypoxia. Typically take several months to occur</li>\n\t<li>Can also be seen in non-CL wearers</li>\n\t<li>Small numbers of microcysts in a CL wearer is considered normal</li>\n\t<li>Vacuoles are fluid filled spaces due to chronic hypoxia</li>\n</ul>\n\n<h2>Prevalence</h2>\n\n<ul>\n\t<li>Occasional</li>\n</ul>\n\n<h2>Differential Diagnosis</h2>\n\n<ul>\n\t<li><a href=\"/condition/11\">Microcystic Edema (epithelial edema)</a></li>\n\t<li><a href=\"/condition/66\">See: Infiltrates and Opacities &ndash; Differential Diagnosis</a></li>\n</ul>\n\n<h2>Management</h2>\n\n<ul>\n\t<li>Change to high Dk/t lenses, reduce the number of nights wear/week if EW, or change to DW or DD</li>\n\t<li>May be a temporary increase in microcyst numbers after ceasing EW or changing from low Dk to high Dk EW lens</li>\n</ul>",
        "images": [
            {
                "name": "Corneal Microcysts and Vacuoles",
                "file": "https://cclm-static.s3.amazonaws.com/images/microcysts-vacuoles_zoom.jpg"
            }
        ],
        "type": 1,
        "videos": [],
        "wear": false,
        "ceaseWear": false,
        "changeLens": true,
        "changeSolutions": false,
        "changeCare": false,
        "counseling": false,
        "dd": false,
        "dw": true,
        "gp": false,
        "replace": false,
        "review": true,
        "rewettingDrops": false,
        "rx": false,
        "SiHy": true,
        "toric": false,
        "tags": []
    },
    {
        "id": 3,
        "url": "https://cclm.media-doc.io/conditions/3/?format=api",
        "name": "Contact Lens-Related Superior Limbic Keratoconjunctivitis (CL-SLK)",
        "category": "Limbus",
        "detail": "<h2>Symptoms</h2>\n\n<ul>\n\t<li>Stinging or burning at time of lens insertion</li>\n\t<li>Lens awareness, itching</li>\n</ul>\n\n<h2>Signs</h2>\n\n<ul>\n\t<li>Superior limbic redness</li>\n\t<li>Superior bulbar conjunctival chemosis</li>\n\t<li>Vascular pannus</li>\n\t<li>Superior corneal staining and infiltrates</li>\n\t<li>Bilateral epithelial keratinisation</li>\n</ul>\n\n<h2>Etiology</h2>\n\n<ul>\n\t<li>Inflammatory reaction of cornea in superior limbic region</li>\n\t<li>Historically occurred with solutions containing thimerosal</li>\n\t<li>May occur in response to hypoxia, or as an allergic reaction</li>\n\t<li>Bilateral presentation (but may be asymmetric)</li>\n</ul>\n\n<h2>Prevalence</h2>\n\n<ul>\n\t<li>Rare</li>\n</ul>\n\n<h2>Differential Diagnosis</h2>\n\n<ul>\n\t<li>Neovascularization, infiltrative keratitis, conjunctivitis</li>\n\t<li><a href=\"/condition/20/\">infiltrative keratitis</a></li>\n\t<li>See: <a href=\"/condition/65\">Epithelial Fluorescein Staining &ndash; Differential Diagnosis</a></li>\n\t<li>See: <a href=\"/condition/63\">Hyperemia and Vascularization &ndash; Differential Diagnosis</a></li>\n\t<li>Theodore&rsquo;s SLK (not CL related)</li>\n</ul>\n\n<h2>Management</h2>\n\n<ul>\n\t<li>Use solutions without added preservatives, e.g. hydrogen peroxide</li>\n\t<li>Change to an alternative multipurpose solution</li>\n\t<li>Reduce wearing time</li>\n\t<li>Change to daily disposable</li>\n\t<li>Rewetting Drops, and/or NSAIDs</li>\n</ul>",
        "images": [
            {
                "name": "Contact Lens-Related Superior Limbic Keratoconjunctivitis (CL-SLK)",
                "file": "https://cclm-static.s3.amazonaws.com/images/cl-slk_zoom.jpg"
            },
            {
                "name": "Superior Limbic Keratoconjunctivitis",
                "file": "https://cclm-static.s3.amazonaws.com/images/SLK_ID67_0001_comp.jpg"
            }
        ],
        "type": 1,
        "videos": [],
        "wear": true,
        "ceaseWear": false,
        "changeLens": false,
        "changeSolutions": false,
        "changeCare": true,
        "counseling": false,
        "dd": true,
        "dw": false,
        "gp": false,
        "replace": false,
        "review": false,
        "rewettingDrops": true,
        "rx": true,
        "SiHy": false,
        "toric": false,
        "tags": []
    },
    {
        "id": 31,
        "url": "https://cclm.media-doc.io/conditions/31/?format=api",
        "name": "Lens Solution Toxicity",
        "category": "Cornea",
        "detail": "<h2>Symptoms</h2>\n\n<ul>\n\t<li>Stinging or burning on lens insertion</li>\n\t<li>Visual symptoms if severe</li>\n</ul>\n\n<h2>Signs</h2>\n\n<ul>\n\t<li>Localized disruption of the corneal epithelial surface (superficial punctate keratitis) &ndash; often marked</li>\n\t<li>Absence of corneal infiltrates</li>\n</ul>\n\n<h2>Etiology</h2>\n\n<ul>\n\t<li>Effects are generally related to concentration and dosage of chemical preservative(s)</li>\n\t<li>Toxic effects of solution components potentially include hydrogen peroxide (inadequate neutralization), thimerosal, benzalkonium chloride, chlorhexidine</li>\n\t<li>Rare with modern, higher molecular weight preservatives such as polyhexamethylenebiguanide (PHMB) and Polyquaternium</li>\n</ul>\n\n<h2>Prevalence</h2>\n\n<ul>\n\t<li>Uncommon with current multipurpose solutions. Will occur more frequently with inadequate hydrogen peroxide neutralization</li>\n</ul>\n\n<h2>Differential Diagnosis</h2>\n\n<ul>\n\t<li><a href=\"/condition/33\">Solution-induced corneal staining</a></li>\n\t<li><a href=\"/condition/30\">Solution sensitivity</a></li>\n</ul>\n\n<h2>Management</h2>\n\n<ul>\n\t<li>Counsel on need to neutralize hydrogen peroxide</li>\n\t<li>Rinse lenses with saline prior to insertion</li>\n\t<li>Consider minimal maintenance options including DD lenses</li>\n</ul>",
        "images": [
            {
                "name": "Lens Solution Toxicity",
                "file": "https://cclm-static.s3.amazonaws.com/images/solution-toxicity_zoom.jpg"
            }
        ],
        "type": 1,
        "videos": [],
        "wear": false,
        "ceaseWear": false,
        "changeLens": false,
        "changeSolutions": false,
        "changeCare": true,
        "counseling": true,
        "dd": true,
        "dw": false,
        "gp": false,
        "replace": false,
        "review": true,
        "rewettingDrops": false,
        "rx": false,
        "SiHy": false,
        "toric": false,
        "tags": []
    },
    {
        "id": 41,
        "url": "https://cclm.media-doc.io/conditions/41/?format=api",
        "name": "Hyperemia - Palpebral Conjunctiva",
        "category": "Conjunctiva",
        "detail": "<h2>Symptoms</h2>\n\n<ul>\n\t<li>Typically none. May have some level of mild discomfort if associated with other lid changes</li>\n</ul>\n\n<h2>Signs</h2>\n\n<ul>\n\t<li>Engorgement of palpebral blood vessels observed on lid eversion</li>\n\t<li>Small papillae may also be observed</li>\n</ul>\n\n<h2>Etiology</h2>\n\n<ul>\n\t<li>Low grade inflammation of palpebral conjunctiva</li>\n\t<li>Often a precursor to CLPC</li>\n\t<li>May be a response to care regimen or deposition on contact lens</li>\n</ul>\n\n<h2>Prevalence</h2>\n\n<ul>\n\t<li>Mild degrees are common. Severe degrees are infrequent</li>\n</ul>\n\n<h2>Differential Diagnosis</h2>\n\n<ul>\n\t<li><a href=\"/condition/38\">CLPC / GPC</a></li>\n\t<li>See: <a href=\"/condition/64\">Palpebral Conjunctival Inflammation &ndash; Differential Diagnosis</a></li>\n</ul>\n\n<h2>Management</h2>\n\n<ul>\n\t<li>Consider changing solution from preserved multipurpose solution to peroxide based solutions</li>\n\t<li>Refit with lenses of lower modulus and improved surface wettability</li>\n\t<li>Reinforce compliance with lens replacement interval, maintenance and wearing time</li>\n</ul>",
        "images": [
            {
                "name": "Hyperemia - Palpebral Conjunctiva",
                "file": "https://cclm-static.s3.amazonaws.com/images/palpebral-conjunctiva-hyperemia_zoom.jpg"
            }
        ],
        "type": 1,
        "videos": [],
        "wear": false,
        "ceaseWear": false,
        "changeLens": true,
        "changeSolutions": false,
        "changeCare": true,
        "counseling": true,
        "dd": true,
        "dw": false,
        "gp": false,
        "replace": false,
        "review": false,
        "rewettingDrops": false,
        "rx": false,
        "SiHy": true,
        "toric": false,
        "tags": []
    },
    {
        "id": 39,
        "url": "https://cclm.media-doc.io/conditions/39/?format=api",
        "name": "Vascularization – Superficial and Deep Stromal",
        "category": "Cornea",
        "detail": "<p>Neovascularization</p>\n\n<h2>Symptoms</h2>\n\n<ul>\n\t<li>None, but vision may be affected in deep stromal vascularization due to associated opacities &ndash; Superficial and Deep Stromal</li>\n</ul>\n\n<h2>Signs</h2>\n\n<ul>\n\t<li>Ingrowth of vessels in the cornea</li>\n\t<li>Usually superficial but can also be deep stromal</li>\n\t<li>Generally bilateral presentation</li>\n\t<li>Superficial: corneal penetration by vessels continuous with the limbal vessels</li>\n\t<li>Deep stromal: Blood vessel growth in the stroma and vessels disappear from view at the limbus</li>\n</ul>\n\n<h2>Etiology</h2>\n\n<ul>\n\t<li>Due to chronic corneal hypoxia</li>\n\t<li>Common sign associated with low Dk/t soft contact lens wear</li>\n\t<li>May be history of previous corneal disease, trauma, or infection</li>\n</ul>\n\n<h2>Prevalence</h2>\n\n<ul>\n\t<li>Rare with modern materials</li>\n</ul>\n\n<h2>Differential Diagnosis</h2>\n\n<ul>\n\t<li><a href=\"/condition/5\">Limbal Hyperemia</a></li>\n\t<li><a href=\"/condition/63\">See: Hyperemia Differential Diagnosis</a></li>\n</ul>\n\n<h2>Management</h2>\n\n<ul>\n\t<li>Consider SiHy lenses or GP lenses</li>\n</ul>",
        "images": [
            {
                "name": "Vascularization – Superficial and Deep Stromal",
                "file": "https://cclm-static.s3.amazonaws.com/images/vascularization-01_zoom.jpg"
            },
            {
                "name": "Vascularization – Superficial and Deep Stromal",
                "file": "https://cclm-static.s3.amazonaws.com/images/vascularization-02_zoom.jpg"
            }
        ],
        "type": 1,
        "videos": [],
        "wear": false,
        "ceaseWear": false,
        "changeLens": true,
        "changeSolutions": false,
        "changeCare": false,
        "counseling": false,
        "dd": false,
        "dw": true,
        "gp": true,
        "replace": false,
        "review": true,
        "rewettingDrops": false,
        "rx": false,
        "SiHy": true,
        "toric": false,
        "tags": []
    },
    {
        "id": 40,
        "url": "https://cclm.media-doc.io/conditions/40/?format=api",
        "name": "Hyperemia - Interpalpebral",
        "category": "Conjunctiva",
        "detail": "<h2>Symptoms</h2>\n\n<ul>\n\t<li>None to sensation of dryness</li>\n</ul>\n\n<h2>Signs</h2>\n\n<ul>\n\t<li>Hyperemia of the conjunctiva in the interpalpebral region</li>\n</ul>\n\n<h2>Etiology</h2>\n\n<ul>\n\t<li>Allergic, mechanical, or combination reaction of superior conjunctival tarsal plate</li>\n\t<li>More common in soft than GP lens wear</li>\n\t<li>Can be related to solution sensitivity to preservatives</li>\n</ul>\n\n<h2>Prevalence</h2>\n\n<ul>\n\t<li>Occasional</li>\n</ul>\n\n<h2>Differential Diagnosis</h2>\n\n<ul>\n\t<li><a href=\"/condition/42\">Compare with sectorial or generalized hyperemia</a></li>\n\t<li>Pingueculae or pterygia</li>\n\t<li><a href=\"/condition/69\">Dryness</a>&nbsp;and tear film instability</li>\n\t<li>Bacterial or viral conjunctivitis</li>\n\t<li>See: <a href=\"/condition/63\">Hyperemia and Vascularization &ndash; Differential Diagnosis</a></li>\n</ul>\n\n<h2>Management</h2>\n\n<ul>\n\t<li>Reduce wearing time if excessive</li>\n\t<li>Change to SiHy lenses (low water content/low dehydration)</li>\n\t<li>Counsel on adverse environments (e.g. air conditioning, computer use etc.)</li>\n\t<li>Try rewetting drops</li>\n\t<li>Topical antibiotics if associated with obvious discharge</li>\n</ul>",
        "images": [
            {
                "name": "Hyperemia - Interpalpebral",
                "file": "https://cclm-static.s3.amazonaws.com/images/interpalpebral-hyperemia-01.jpg"
            },
            {
                "name": "Hyperemia - Interpalpebral",
                "file": "https://cclm-static.s3.amazonaws.com/images/interpalpebral-hyperemia-02.jpg"
            }
        ],
        "type": 1,
        "videos": [],
        "wear": true,
        "ceaseWear": false,
        "changeLens": true,
        "changeSolutions": false,
        "changeCare": false,
        "counseling": true,
        "dd": false,
        "dw": false,
        "gp": false,
        "replace": false,
        "review": false,
        "rewettingDrops": false,
        "rx": true,
        "SiHy": true,
        "toric": false,
        "tags": [
            {
                "id": 7,
                "url": "https://cclm.media-doc.io/tags/7/?format=api",
                "name": "conditions"
            }
        ]
    },
    {
        "id": 44,
        "url": "https://cclm.media-doc.io/conditions/44/?format=api",
        "name": "Lid Wiper Epitheliopathy (LWE)",
        "category": "Conjunctiva",
        "detail": "<h2>Symptoms</h2>\n\n<ul>\n\t<li>Asymptomatic or may experience dryness and/or discomfort</li>\n</ul>\n\n<h2>Signs</h2>\n\n<ul>\n\t<li>Staining of the lid wiper (the portion of marginal conjunctiva that comes in contact with ocular surface during blinking)</li>\n\t<li>The lid wiper region extends from Marx&rsquo;s line (sharp green border staining superiorly) to the tarsal sulcus fold</li>\n\t<li>Observed with sodium fluorescein and/or Lissamine green</li>\n</ul>\n\n<h2>Etiology</h2>\n\n<ul>\n\t<li>Aqueous deficiency may play a role since increased friction between the lid wiper region and ocular surface subject the lid wiper to trauma on blinking</li>\n\t<li>Other possible causes include disorders of the adherent protective coatings of the epithelium of the lid wiper, disorders of blinking and ocular surface abnormalities</li>\n</ul>\n\n<h2>Prevalence</h2>\n\n<ul>\n\t<li>Common in dry eye patients</li>\n</ul>\n\n<h2>Differential Diagnosis</h2>\n\n<ul>\n\t<li><a href=\"/condition/32\">Conjunctival Staining</a></li>\n\t<li>Line of Marx</li>\n</ul>\n\n<h2>Management</h2>\n\n<ul>\n\t<li>Consider rewetting drops</li>\n\t<li>If MGD co-exists, consider lid hygiene and hot compresses</li>\n\t<li>Changing materials to lower friction surfaces</li>\n</ul>",
        "images": [
            {
                "name": "Lid Wiper Epitheliopathy (LWE)",
                "file": "https://cclm-static.s3.amazonaws.com/images/lwe-staining_zoom.jpg"
            },
            {
                "name": "Lid Wiper Epitheliopathy (LWE)",
                "file": "https://cclm-static.s3.amazonaws.com/images/lwe_zoom.jpg"
            }
        ],
        "type": 1,
        "videos": [
            {
                "name": "Lid Wiper Epitheliopathy - Fluorescein Stain (with Lid Eversion)",
                "videoSrc": "255945642"
            },
            {
                "name": "Lid Wiper Epitheliopathy - Fluorescein Stain and Palpebral Staining",
                "videoSrc": "255946014"
            },
            {
                "name": "Lid Wiper Epitheliopathy - Lissamine Stain",
                "videoSrc": "255946307"
            }
        ],
        "wear": false,
        "ceaseWear": false,
        "changeLens": true,
        "changeSolutions": false,
        "changeCare": false,
        "counseling": true,
        "dd": false,
        "dw": false,
        "gp": false,
        "replace": false,
        "review": false,
        "rewettingDrops": true,
        "rx": true,
        "SiHy": false,
        "toric": false,
        "tags": []
    },
    {
        "id": 43,
        "url": "https://cclm.media-doc.io/conditions/43/?format=api",
        "name": "Lid Parallel Conjunctival Folds (LIPCOF)",
        "category": "Conjunctiva",
        "detail": "<p>Lid parallel conjunctival folds</p>\n\n<h2>Symptoms</h2>\n\n<ul>\n\t<li>Asymptomatic or may experience dryness and/or discomfort</li>\n</ul>\n\n<h2>Signs</h2>\n\n<ul>\n\t<li>Subclinical folds parallel to the upper and/or lower lid margin in the temporal and nasal areas of the bulbar conjunctiva</li>\n</ul>\n\n<h2>Etiology</h2>\n\n<ul>\n\t<li>Breakdown of elastic fibers in the loose conjunctiva</li>\n\t<li>Tear deficiency and inflammation of the conjunctiva</li>\n</ul>\n\n<h2>Prevalence</h2>\n\n<ul>\n\t<li>Common in dry eye patients</li>\n</ul>\n\n<h2>Differential Diagnosis</h2>\n\n<ul>\n\t<li>Conjunctivochalasisis (an elevation of the bulbar conjunctiva lying along the central lower lid margin that results in redundant, excessive conjunctiva and can result in dry eye due to tear film instability)</li>\n</ul>\n\n<h2>Management</h2>\n\n<ul>\n\t<li>Consider rewetting drops, depending on symptoms</li>\n</ul>",
        "images": [
            {
                "name": "Lid Parallel Conjuctival Folds (LIPCOF)",
                "file": "https://cclm-static.s3.amazonaws.com/images/lipcof_zoom.jpg"
            }
        ],
        "type": 1,
        "videos": [],
        "wear": false,
        "ceaseWear": false,
        "changeLens": false,
        "changeSolutions": false,
        "changeCare": false,
        "counseling": false,
        "dd": false,
        "dw": false,
        "gp": false,
        "replace": false,
        "review": false,
        "rewettingDrops": true,
        "rx": false,
        "SiHy": false,
        "toric": false,
        "tags": [
            {
                "id": 7,
                "url": "https://cclm.media-doc.io/tags/7/?format=api",
                "name": "conditions"
            }
        ]
    },
    {
        "id": 49,
        "url": "https://cclm.media-doc.io/conditions/49/?format=api",
        "name": "Binding – Soft Contact Lens",
        "category": "Contact Lens",
        "detail": "<h2>Symptoms</h2>\n\n<ul>\n\t<li>None to difficulty in removing lens</li>\n\t<li>Blurred vision</li>\n</ul>\n\n<h2>Signs</h2>\n\n<ul>\n\t<li>Lack of lens movement with blinking</li>\n\t<li>Colored post-lens tear film reflection (see image)</li>\n\t<li>The appearance of colored or striate patterns in the post-lens tear film reflection indicates a thinned and aqueous-depleted post-lens tear layer</li>\n</ul>\n\n<h2>Etiology</h2>\n\n<ul>\n\t<li>Static post-lens tear layer and binding of soft lens</li>\n\t<li>May arise with hypotonic tear film or excessive evaporation from lens surface</li>\n\t<li>Occurs with eye closure, excessive tearing, exposure to a fresh water environment (e.g. showering, swimming)</li>\n\t<li>Commonly observed soon after lens insertion</li>\n\t<li>Implicated in the contact lens acute red eye (CLARE)</li>\n</ul>\n\n<h2>Prevalence</h2>\n\n<ul>\n\t<li>Common in EW, occasional in DW</li>\n\t<li>Low to moderate significance</li>\n</ul>\n\n<h2>Differential Diagnosis</h2>\n\n<ul>\n\t<li><a href=\"/condition/18\">CLARE (tight lens)</a></li>\n</ul>\n\n<h2>Management</h2>\n\n<ul>\n\t<li>Fit a looser lens if movement remains minimal after some time of wear</li>\n\t<li>Avoid predisposing environmental factors</li>\n\t<li>Wetting drops on waking to replenish the post-lens tear film</li>\n</ul>",
        "images": [
            {
                "name": "Binding – Soft Contact Lens",
                "file": "https://cclm-static.s3.amazonaws.com/images/binding-scl_zoom.jpg"
            }
        ],
        "type": 1,
        "videos": [],
        "wear": false,
        "ceaseWear": false,
        "changeLens": true,
        "changeSolutions": false,
        "changeCare": false,
        "counseling": true,
        "dd": false,
        "dw": false,
        "gp": false,
        "replace": false,
        "review": false,
        "rewettingDrops": false,
        "rx": true,
        "SiHy": true,
        "toric": false,
        "tags": []
    },
    {
        "id": 55,
        "url": "https://cclm.media-doc.io/conditions/55/?format=api",
        "name": "Contact Lenses: Problems and Defects",
        "category": "Contact Lens",
        "detail": "<p>Defect</p>\n\n<h2>Symptoms</h2>\n\n<ul>\n\t<li>None to severe discomfort during wear, which dissipates quickly on lens removal</li>\n</ul>\n\n<h2>Signs</h2>\n\n<ul>\n\t<li>Local staining often occurs in the region of the cornea and conjunctiva near the defect</li>\n\t<li>The defect may or may not be obvious under magnification</li>\n</ul>\n\n<h2>Etiology</h2>\n\n<ul>\n\t<li>Poor manufacturing techniques (rare)</li>\n\t<li>Damage during use (poor lens handling, lens trapped in case, etc)</li>\n</ul>\n\n<h2>Prevalence</h2>\n\n<ul>\n\t<li>Common; may be higher with new wearers and in thin lenses, especially those that are high water content</li>\n</ul>\n\n<h2>Differential Diagnosis</h2>\n\n<ul>\n\t<li><a href=\"/condition/58\">Lens Tear</a></li>\n\t<li>Insertion of another lens of the same parameters (possibly from the fellow eye) will differentiate if a lens is defective</li>\n\t<li><a href=\"/condition/60\">See:&nbsp;Contact Lens Changes &ndash; Differential Diagnosis</a></li>\n</ul>\n\n<h2>Management</h2>\n\n<ul>\n\t<li>Lens replacement</li>\n\t<li>Re-evaluation of lens handling</li>\n\t<li>Change to daily disposable lenses if occurs continually</li>\n</ul>",
        "images": [
            {
                "name": "Contact Lenses: Problems and Defects",
                "file": "https://cclm-static.s3.amazonaws.com/images/lens-defect.jpg"
            }
        ],
        "type": 1,
        "videos": [],
        "wear": false,
        "ceaseWear": false,
        "changeLens": true,
        "changeSolutions": false,
        "changeCare": false,
        "counseling": true,
        "dd": false,
        "dw": false,
        "gp": false,
        "replace": false,
        "review": false,
        "rewettingDrops": false,
        "rx": false,
        "SiHy": false,
        "toric": false,
        "tags": []
    },
    {
        "id": 57,
        "url": "https://cclm.media-doc.io/conditions/57/?format=api",
        "name": "Lens Mislocation – Soft Toric",
        "category": "Contact Lens",
        "detail": "<p>Tear break-up time, deposits</p>\n\n<h2>Symptoms</h2>\n\n<ul>\n\t<li>Decreased or variable vision</li>\n</ul>\n\n<h2>Signs</h2>\n\n<ul>\n\t<li>Toric location marks misalign</li>\n\t<li>Sphero-cylindrical over-refraction is non-plano</li>\n</ul>\n\n<h2>Etiology</h2>\n\n<ul>\n\t<li>Axis of hydrogel toric lens fails to locate correctly or consistently</li>\n</ul>\n\n<h2>Prevalence</h2>\n\n<ul>\n\t<li>Common. But newer designs reducing the prevalence</li>\n</ul>\n\n<h2>Differential Diagnosis</h2>\n\n<ul>\n\t<li>Compare with actual change in ocular refraction</li>\n\t<li>For empirical confirmation of toric lens power, check:\n\t<ol>\n\t\t<li>relationship to refraction</li>\n\t\t<li>relation between ocular and corneal cylinder axis y</li>\n\t</ol>\n\t</li>\n</ul>\n\n<h2>Management</h2>\n\n<ul>\n\t<li>If asymptomatic, no treatment</li>\n\t<li>Reorder lens with compensatory axis change</li>\n\t<li>Change lens design. Figure above shows designs with shading for the thickened stabilization zones</li>\n\t<li>Avoid compromising cornea with low Dk/t toric lenses; consider SiH toric lenses or GP lenses</li>\n</ul>",
        "images": [
            {
                "name": "Lens Mislocation – Soft Toric",
                "file": "https://cclm-static.s3.amazonaws.com/images/lens-mislocation-soft-toric.jpg"
            },
            {
                "name": "Lens Mislocation – Soft Toric",
                "file": "https://cclm-static.s3.amazonaws.com/images/toric-lens-markings.jpg"
            }
        ],
        "type": 1,
        "videos": [],
        "wear": false,
        "ceaseWear": false,
        "changeLens": true,
        "changeSolutions": false,
        "changeCare": false,
        "counseling": false,
        "dd": false,
        "dw": false,
        "gp": true,
        "replace": false,
        "review": false,
        "rewettingDrops": false,
        "rx": false,
        "SiHy": true,
        "toric": false,
        "tags": []
    },
    {
        "id": 63,
        "url": "https://cclm.media-doc.io/conditions/63/?format=api",
        "name": "Differential Diagnosis: Hyperemia and Vascularization",
        "category": "Signs",
        "detail": "<p>Also consider non-contact lens related causes of red eye within a differential diagnosis, including glaucoma, uveitis (for circumlimbal flush), conjunctivitis (for bulbar hyperemia) and vascularization (for limbal hyperemia).</p>\n\n<p>Refer to the individual conditions for the differential diagnosis of conditions shown in the diagram.&nbsp;</p>",
        "images": [
            {
                "name": "Hyperemia - Bulbar",
                "file": "https://cclm-static.s3.amazonaws.com/images/hyperemia-bulbar_zoom.jpg"
            },
            {
                "name": "Hyperemia - Interpalpebral",
                "file": "https://cclm-static.s3.amazonaws.com/images/hyperemia-interpalpebral_zoom.jpg"
            },
            {
                "name": "Hyperemia - Sectorial",
                "file": "https://cclm-static.s3.amazonaws.com/images/hyperemia-sectorial_zoom.jpg"
            },
            {
                "name": "Hyperemia - Limbal",
                "file": "https://cclm-static.s3.amazonaws.com/images/hyperemia-limbal_zoom.jpg"
            },
            {
                "name": "Vascular Limbal Keratitis (VLK)",
                "file": "https://cclm-static.s3.amazonaws.com/images/hyperemia-vlk_zoom.jpg"
            },
            {
                "name": "Vascularization - Superficial",
                "file": "https://cclm-static.s3.amazonaws.com/images/vascularization-superficial_zoom.jpg"
            },
            {
                "name": "Vascularization - Deep",
                "file": "https://cclm-static.s3.amazonaws.com/images/vascularization-deep_zoom.jpg"
            }
        ],
        "type": 2,
        "videos": [],
        "wear": false,
        "ceaseWear": false,
        "changeLens": false,
        "changeSolutions": false,
        "changeCare": false,
        "counseling": false,
        "dd": false,
        "dw": false,
        "gp": false,
        "replace": false,
        "review": false,
        "rewettingDrops": false,
        "rx": false,
        "SiHy": false,
        "toric": false,
        "tags": [
            {
                "id": 7,
                "url": "https://cclm.media-doc.io/tags/7/?format=api",
                "name": "conditions"
            }
        ]
    },
    {
        "id": 9,
        "url": "https://cclm.media-doc.io/conditions/9/?format=api",
        "name": "Desiccation (SMILE Staining)",
        "category": "Cornea",
        "detail": "<h2>Symptoms</h2>\n\n<ul>\n\t<li>None or minor symptoms of dryness/discomfort</li>\n</ul>\n\n<h2>Signs</h2>\n\n<ul>\n\t<li>Inferior arcuate staining of inferior cornea. Lesion is between 4 and 8 o&rsquo;clock and is parallel to limbus. Often bilateral and asymmetric</li>\n</ul>\n\n<h2>Etiology</h2>\n\n<ul>\n\t<li>Localized disruption of the corneal surface as a result of desiccation</li>\n\t<li>Often associated with incomplete blinking</li>\n\t<li>More common with thin and high water content soft lenses</li>\n\t<li>Lens dehydration leads to post-lens tear film elimination and, ultimately, epithelial desiccation</li>\n</ul>\n\n<h2>Prevalence</h2>\n\n<ul>\n\t<li>Mild degrees are common. Severe forms are infrequent</li>\n</ul>\n\n<h2>Differential Diagnosis</h2>\n\n<ul>\n\t<li>Other&nbsp;<a href=\"/condition/65\">staining patterns</a></li>\n\t<li>See: <a href=\"/condition/65\">Epithelial Fluorescein Staining &ndash; Differential Diagnosis</a></li>\n</ul>\n\n<h2>Management</h2>\n\n<ul>\n\t<li>If staining is severe, then cessation of wear is required with the addition of rewetting drops</li>\n\t<li>Refit if persistent or severe to a lower water content material, SiHy material</li>\n\t<li>Rewetting Drops</li>\n\t<li>May need to reduce wearing time</li>\n</ul>",
        "images": [
            {
                "name": "Desiccation (SMILE Staining)",
                "file": "https://cclm-static.s3.amazonaws.com/images/staining-smile-01_zoom.jpg"
            },
            {
                "name": "Desiccation (SMILE Staining)",
                "file": "https://cclm-static.s3.amazonaws.com/images/staining-smile-02_zoom.jpg"
            }
        ],
        "type": 1,
        "videos": [
            {
                "name": "Inferior Smile (Dehydration) Staining",
                "videoSrc": "248362260"
            }
        ],
        "wear": true,
        "ceaseWear": true,
        "changeLens": true,
        "changeSolutions": false,
        "changeCare": false,
        "counseling": false,
        "dd": false,
        "dw": false,
        "gp": false,
        "replace": false,
        "review": true,
        "rewettingDrops": true,
        "rx": false,
        "SiHy": true,
        "toric": false,
        "tags": []
    },
    {
        "id": 60,
        "url": "https://cclm.media-doc.io/conditions/60/?format=api",
        "name": "Contact Lens Changes",
        "category": "Signs",
        "detail": "<p>When diagnosing, also consider changes in refractive error, lens loss or mislocation, swapping of lenses for left and right eyes, lens flexure (temporary shape change), and lens warpage (permanent shape change).</p>\n\n<p>Refer to the individual conditions for the differential diagnosis conditions shown in the diagram.</p>",
        "images": [
            {
                "name": "Contact Lens Changes",
                "file": "https://cclm-static.s3.amazonaws.com/images/contact-lens-related-conditions.jpg"
            }
        ],
        "type": 2,
        "videos": [],
        "wear": false,
        "ceaseWear": false,
        "changeLens": false,
        "changeSolutions": false,
        "changeCare": false,
        "counseling": false,
        "dd": false,
        "dw": false,
        "gp": false,
        "replace": false,
        "review": false,
        "rewettingDrops": false,
        "rx": false,
        "SiHy": false,
        "toric": false,
        "tags": []
    },
    {
        "id": 62,
        "url": "https://cclm.media-doc.io/conditions/62/?format=api",
        "name": "Endothelial Changes – Differential Diagnosis",
        "category": "Signs",
        "detail": "<p>Refer to the individual conditions for the differential diagnosis conditions shown in the diagram.</p>",
        "images": [
            {
                "name": "Guttata",
                "file": "https://cclm-static.s3.amazonaws.com/images/diff-guttata.png"
            },
            {
                "name": "Blebs",
                "file": "https://cclm-static.s3.amazonaws.com/images/diff-blebs.png"
            },
            {
                "name": "Polymegethism",
                "file": "https://cclm-static.s3.amazonaws.com/images/diff-polymegethism.png"
            },
            {
                "name": "Endothelial Folds",
                "file": "https://cclm-static.s3.amazonaws.com/images/diff-folds.png"
            }
        ],
        "type": 2,
        "videos": [],
        "wear": false,
        "ceaseWear": false,
        "changeLens": false,
        "changeSolutions": false,
        "changeCare": false,
        "counseling": false,
        "dd": false,
        "dw": false,
        "gp": false,
        "replace": false,
        "review": false,
        "rewettingDrops": false,
        "rx": false,
        "SiHy": false,
        "toric": false,
        "tags": []
    },
    {
        "id": 7,
        "url": "https://cclm.media-doc.io/conditions/7/?format=api",
        "name": "Corneal Dellen",
        "category": "Cornea",
        "detail": "<p>Desiccation, focal corneal dehydration</p>\n\n<h2>Symptoms</h2>\n\n<ul>\n\t<li>None to dryness and discomfort</li>\n</ul>\n\n<h2>Signs</h2>\n\n<ul>\n\t<li>Local saucer-like depression in the peripheral cornea</li>\n\t<li>May be associated scarring and vascularization</li>\n\t<li>Epithelium intact</li>\n</ul>\n\n<h2>Etiology</h2>\n\n<ul>\n\t<li>Localized dryness and desiccation</li>\n\t<li>Loss of stromal hydration causes compaction of lamellae</li>\n\t<li>Occasionally occurs with 3 and 9 o&#39;clock staining in GP lens wear</li>\n</ul>\n\n<h2>Prevalence</h2>\n\n<ul>\n\t<li>Rare</li>\n</ul>\n\n<h2>Differential Diagnosis</h2>\n\n<ul>\n\t<li><a href=\"/condition/65\">3 and 9 o&#39;clock staining</a></li>\n\t<li><a href=\"/condition/69\">Severe dryness due to poor blinking</a></li>\n\t<li>See: <a href=\"/condition/66\">Infiltrates and Opacities &ndash; Differential Diagnosis</a></li>\n</ul>\n\n<h2>Management</h2>\n\n<ul>\n\t<li>Eliminate causes of 3 and 9 o&#39;clock staining</li>\n\t<li>Depression may resolve within days, scarring may not resolve</li>\n\t<li>Persistent dellen may require reducing lens wearing time or refitting with soft lenses</li>\n\t<li>Blinking exercises and rewetting drops may also help</li>\n</ul>",
        "images": [
            {
                "name": "Corneal Dellen",
                "file": "https://cclm-static.s3.amazonaws.com/images/dellen-01_zoom.jpg"
            },
            {
                "name": "Corneal Dellen",
                "file": "https://cclm-static.s3.amazonaws.com/images/dellen-02_zoom.jpg"
            }
        ],
        "type": 1,
        "videos": [],
        "wear": true,
        "ceaseWear": false,
        "changeLens": true,
        "changeSolutions": false,
        "changeCare": false,
        "counseling": true,
        "dd": false,
        "dw": false,
        "gp": false,
        "replace": false,
        "review": false,
        "rewettingDrops": true,
        "rx": false,
        "SiHy": false,
        "toric": false,
        "tags": [
            {
                "id": 7,
                "url": "https://cclm.media-doc.io/tags/7/?format=api",
                "name": "conditions"
            }
        ]
    },
    {
        "id": 58,
        "url": "https://cclm.media-doc.io/conditions/58/?format=api",
        "name": "Lens Tear",
        "category": "Contact Lens",
        "detail": "<p>Nick, torn lens</p>\n\n<h2>Symptoms</h2>\n\n<ul>\n\t<li>None to severe discomfort during wear, which dissipates quickly on lens removal</li>\n</ul>\n\n<h2>Signs</h2>\n\n<ul>\n\t<li>Local corneal staining often occurs in the region of the cornea near the tear</li>\n\t<li>The tear may or may not be obvious under magnification</li>\n</ul>\n\n<h2>Etiology</h2>\n\n<ul>\n\t<li>Poor handling</li>\n\t<li>Catching the lens in the lens case</li>\n</ul>\n\n<h2>Prevalence</h2>\n\n<ul>\n\t<li>Common; may be higher with new wearers and in thin lenses, especially those that are high water content</li>\n</ul>\n\n<h2>Differential Diagnosis</h2>\n\n<ul>\n\t<li><a href=\"/condition/55\">Lens Imperfection</a></li>\n\t<li>See:&nbsp;<a href=\"/condition/60\">Contact Lens Changes &ndash; Differential Diagnosis</a></li>\n</ul>\n\n<h2>Management</h2>\n\n<ul>\n\t<li>Lens replacement</li>\n\t<li>Re-evaluation of lens handling</li>\n\t<li>Change to daily disposable lenses if occurs continually</li>\n</ul>",
        "images": [
            {
                "name": "Lens Tear",
                "file": "https://cclm-static.s3.amazonaws.com/images/lens-tear.jpg"
            }
        ],
        "type": 1,
        "videos": [
            {
                "name": "Contact Lens Imperfection - Edge Tear",
                "videoSrc": "248362074"
            },
            {
                "name": "Contact Lens Imperfection - Central Tear",
                "videoSrc": "248362083"
            },
            {
                "name": "Contact Lens Imperfection - Edge Nick",
                "videoSrc": "248362122"
            }
        ],
        "wear": false,
        "ceaseWear": false,
        "changeLens": true,
        "changeSolutions": false,
        "changeCare": false,
        "counseling": true,
        "dd": false,
        "dw": false,
        "gp": false,
        "replace": false,
        "review": false,
        "rewettingDrops": false,
        "rx": false,
        "SiHy": false,
        "toric": false,
        "tags": []
    },
    {
        "id": 61,
        "url": "https://cclm.media-doc.io/conditions/61/?format=api",
        "name": "Differential Diagnosis: Corneal Distortion",
        "category": "Signs",
        "detail": "<p>Refer to the individual conditions for the differential diagnosis conditions shown in the diagrams</p>\n\n<p><img alt=\"\" src=\"http://cclmapi.media-doc.ca/uploads/images/isodioptric-map-scale.jpg\" /></p>",
        "images": [
            {
                "name": "Exhaustion Syndrome",
                "file": "https://cclm-static.s3.amazonaws.com/images/isodioptric-map-exhaustion-syndrome_micXK7y.jpg"
            },
            {
                "name": "Wrinkling – Epithelial, Corneal",
                "file": "https://cclm-static.s3.amazonaws.com/images/isodioptric-map-wrinkling.jpg"
            },
            {
                "name": "Binding - GP",
                "file": "https://cclm-static.s3.amazonaws.com/images/isodioptric-map-binding-rgp.jpg"
            },
            {
                "name": "Distortion - Irregular",
                "file": "https://cclm-static.s3.amazonaws.com/images/isodioptric-map-distortion-irregular.jpg"
            },
            {
                "name": "Orthokeratology (OK) using RGP Lenses",
                "file": "https://cclm-static.s3.amazonaws.com/images/isodioptric-map-orthokeratology.jpg"
            },
            {
                "name": "Keratoconus",
                "file": "https://cclm-static.s3.amazonaws.com/images/isodioptric-map-keratoconus.jpg"
            },
            {
                "name": "Excimer PRK(3.5mm Ablation)",
                "file": "https://cclm-static.s3.amazonaws.com/images/isodioptric-map-excimer-prk.jpg"
            },
            {
                "name": "Astigmatism with-the-rule",
                "file": "https://cclm-static.s3.amazonaws.com/images/isodioptric-map-astigmatism-wtr.jpg"
            }
        ],
        "type": 2,
        "videos": [],
        "wear": false,
        "ceaseWear": false,
        "changeLens": false,
        "changeSolutions": false,
        "changeCare": false,
        "counseling": false,
        "dd": false,
        "dw": false,
        "gp": false,
        "replace": false,
        "review": false,
        "rewettingDrops": false,
        "rx": false,
        "SiHy": false,
        "toric": false,
        "tags": []
    },
    {
        "id": 66,
        "url": "https://cclm.media-doc.io/conditions/66/?format=api",
        "name": "Differential Diagnosis: Infiltrates and Opacities",
        "category": "Signs",
        "detail": "<p>Refer to the individual conditions for the differential diagnosis conditions shown in the diagram.</p>",
        "images": [
            {
                "name": "Microbial Keratitis",
                "file": "https://cclm-static.s3.amazonaws.com/images/diagnosis-microbial-keratitis_zoom.png"
            },
            {
                "name": "CLPU (Contact Lens Peripheral Ulcer)",
                "file": "https://cclm-static.s3.amazonaws.com/images/diagnosis-clpu_zoom.png"
            },
            {
                "name": "Epithelial Edema",
                "file": "https://cclm-static.s3.amazonaws.com/images/diagnosis-edema_zoom.png"
            },
            {
                "name": "Folds and Striae (Edema)",
                "file": "https://cclm-static.s3.amazonaws.com/images/diagnosis-folds-straie_zoom.png"
            },
            {
                "name": "Microcysts and Vacuoles",
                "file": "https://cclm-static.s3.amazonaws.com/images/diagnosis-vacuoles_zoom.png"
            },
            {
                "name": "Dellen",
                "file": "https://cclm-static.s3.amazonaws.com/images/diagnosis-dellen_zoom.png"
            },
            {
                "name": "Infiltrative Keratitis (IK)",
                "file": "https://cclm-static.s3.amazonaws.com/images/diagnosis-ik_zoom.png"
            }
        ],
        "type": 2,
        "videos": [],
        "wear": false,
        "ceaseWear": false,
        "changeLens": false,
        "changeSolutions": true,
        "changeCare": false,
        "counseling": false,
        "dd": false,
        "dw": false,
        "gp": false,
        "replace": false,
        "review": false,
        "rewettingDrops": false,
        "rx": false,
        "SiHy": false,
        "toric": false,
        "tags": []
    },
    {
        "id": 64,
        "url": "https://cclm.media-doc.io/conditions/64/?format=api",
        "name": "Differential Diagnosis:  Palpebral Conjunctival Inflammation",
        "category": "Signs",
        "detail": "<table border=\"1\" cellpadding=\"1\" cellspacing=\"1\" class=\"bordered scroll-x\" style=\"width:500px\">\n\t<tbody>\n\t\t<tr>\n\t\t\t<td>Hyperemia</td>\n\t\t\t<td>The palpebral conjunctiva is richly vascularized and mild insults may increase the blood flow. Often the first sign of inflammation.</td>\n\t\t</tr>\n\t\t<tr>\n\t\t\t<td>Papillae</td>\n\t\t\t<td>Papillae are raised areas on the palpebral conjunctiva and have a central blood vessel. The presence of papillae on the upper tarsal conjunctiva &gt;1.0mm diameter is indicative of giant papillary conjunctivitis or vernal keratoconjunctivitis.</td>\n\t\t</tr>\n\t\t<tr>\n\t\t\t<td>Follicles</td>\n\t\t\t<td>Follicles are accumulations of white blood cells within the palpebral conjunctiva without a central blood vessel. Follicles accompany viral infections of the conjunctiva and are not CL-related.</td>\n\t\t</tr>\n\t\t<tr>\n\t\t\t<td>Concretions</td>\n\t\t\t<td>Concretions are pale yellow accumulations of inorganic type material beneath the epithelium of the palpebral conjunctiva. They may cause a foreign body sensation. Not CL-related.</td>\n\t\t</tr>\n\t</tbody>\n</table>\n\n<p>Refer to the individual conditions for the differential diagnosis conditions shown in the diagram below.&nbsp;</p>",
        "images": [
            {
                "name": "Hyperemia - Palpebral Conjunctiva",
                "file": "https://cclm-static.s3.amazonaws.com/images/hyperemia-palpebral-conjunctiva_zoom.jpg"
            },
            {
                "name": "Junctional Papillae (Normal)",
                "file": "https://cclm-static.s3.amazonaws.com/images/junctional-papillae-normal_zoom.jpg"
            },
            {
                "name": "CLPC (Contact Lens Papillary Conjunctivitis)",
                "file": "https://cclm-static.s3.amazonaws.com/images/signs-clpc_zoom.jpg"
            },
            {
                "name": "GPC (Giant Papillary Conjunctivitis)",
                "file": "https://cclm-static.s3.amazonaws.com/images/signs-gpc_zoom.jpg"
            },
            {
                "name": "Follicles",
                "file": "https://cclm-static.s3.amazonaws.com/images/follicles_zoom.jpg"
            },
            {
                "name": "Concretions",
                "file": "https://cclm-static.s3.amazonaws.com/images/concretions_zoom.jpg"
            }
        ],
        "type": 2,
        "videos": [
            {
                "name": "Contact Lens Papillary Conjunctivitis (CLPC) - Severe (White Light)",
                "videoSrc": "255944692"
            }
        ],
        "wear": false,
        "ceaseWear": false,
        "changeLens": false,
        "changeSolutions": false,
        "changeCare": false,
        "counseling": false,
        "dd": false,
        "dw": false,
        "gp": false,
        "replace": false,
        "review": false,
        "rewettingDrops": false,
        "rx": false,
        "SiHy": false,
        "toric": false,
        "tags": [
            {
                "id": 7,
                "url": "https://cclm.media-doc.io/tags/7/?format=api",
                "name": "conditions"
            }
        ]
    },
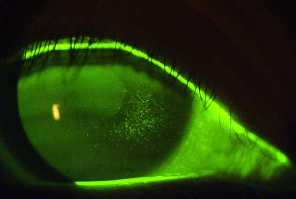
    {
        "id": 65,
        "url": "https://cclm.media-doc.io/conditions/65/?format=api",
        "name": "Differential Diagnosis: Epithelial Fluorescein Staining",
        "category": "Signs",
        "detail": "<p>Refer to the individual conditions for the differential diagnosis conditions shown below.</p>",
        "images": [
            {
                "name": "Erosion",
                "file": "https://cclm-static.s3.amazonaws.com/images/staining-erosion_zoom.jpg"
            },
            {
                "name": "Foreign Body Tracking",
                "file": "https://cclm-static.s3.amazonaws.com/images/staining-foreign-body-tracking_zoom.jpg"
            },
            {
                "name": "Desiccation (SMILE Staining)",
                "file": "https://cclm-static.s3.amazonaws.com/images/staining-desiccation_zoom.jpg"
            },
            {
                "name": "Dimple Veiling (GP), Mucin Balls (SCL)",
                "file": "https://cclm-static.s3.amazonaws.com/images/staining-dimple-veiling_zoom.jpg"
            },
            {
                "name": "Staining - 3 and 9 o'clock",
                "file": "https://cclm-static.s3.amazonaws.com/images/staining-3-and-9-oclock_zoom.jpg"
            },
            {
                "name": "Staining - Confluent",
                "file": "https://cclm-static.s3.amazonaws.com/images/staining-confluent_zoom.jpg"
            },
            {
                "name": "Superior Epithelial Arcuate Lesions",
                "file": "https://cclm-static.s3.amazonaws.com/images/staining-arcuate-lesions_zoom.jpg"
            },
            {
                "name": "Superior Limbic Keratoconjunctivitis",
                "file": "https://cclm-static.s3.amazonaws.com/images/staining-slk_zoom.jpg"
            },
            {
                "name": "SICS (Solution Induced Corneal Staining) - Diffuse",
                "file": "https://cclm-static.s3.amazonaws.com/images/staining-sics-diffuse_zoom.jpg"
            },
            {
                "name": "SICS (Solution Induced Corneal Staining) - Annular",
                "file": "https://cclm-static.s3.amazonaws.com/images/staining-sics-annular_zoom.jpg"
            },
            {
                "name": "Staining - Superficial Punctate",
                "file": "https://cclm-static.s3.amazonaws.com/images/staining-superficial-punctate_zoom.jpg"
            }
        ],
        "type": 2,
        "videos": [
            {
                "name": "SICS - Diffuse",
                "videoSrc": "248362240"
            },
            {
                "name": "Inferior Superficial Punctate Keratopathy - Fluorescein Stain",
                "videoSrc": "248362274"
            },
            {
                "name": "SEAL - Sodium Fluorescein Stain (Narrow)",
                "videoSrc": "248362208"
            },
            {
                "name": "SEAL - Sodium Fluorescein Stain (Large)",
                "videoSrc": "248362195"
            },
            {
                "name": "Mucin Balls - Sodium Fluorescein Imprints",
                "videoSrc": "248362152"
            },
            {
                "name": "Inferior Smile (Dehydration) Staining",
                "videoSrc": "248362260"
            }
        ],
        "wear": false,
        "ceaseWear": false,
        "changeLens": false,
        "changeSolutions": false,
        "changeCare": false,
        "counseling": false,
        "dd": false,
        "dw": false,
        "gp": false,
        "replace": false,
        "review": false,
        "rewettingDrops": false,
        "rx": false,
        "SiHy": false,
        "toric": false,
        "tags": [
            {
                "id": 7,
                "url": "https://cclm.media-doc.io/tags/7/?format=api",
                "name": "conditions"
            }
        ]
    },
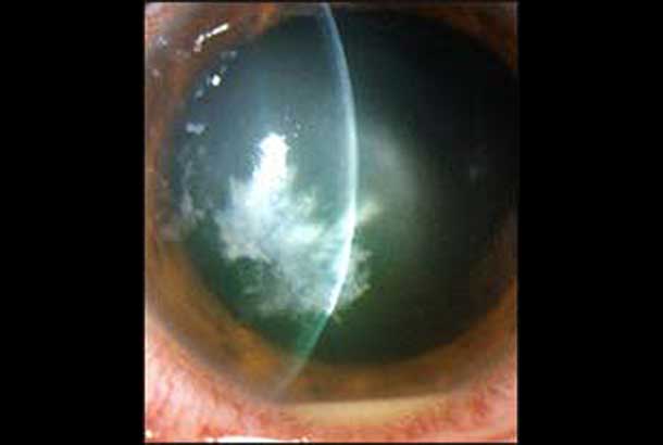
    {
        "id": 2,
        "url": "https://cclm.media-doc.io/conditions/2/?format=api",
        "name": "Acanthamoeba Infection",
        "category": "Cornea",
        "detail": "<p>Protozoan infection of the cornea</p>\n\n<h2>Symptoms</h2>\n\n<ul>\n\t<li>Intense pain, generally out of proportion to associated signs</li>\n\t<li>Photophobia</li>\n\t<li>Long, tortuous course of presentation of varying intensity</li>\n</ul>\n\n<h2>Signs</h2>\n\n<ul>\n\t<li>Initially presents as a central to paracentral localized haze</li>\n\t<li>Presence of cysts or trophozoites within the stroma shown by confocal microscopy</li>\n\t<li>Ring infiltrate occurs as the condition advances</li>\n\t<li>Poor response to topical therapy</li>\n</ul>\n\n<h2>Etiology</h2>\n\n<ul>\n\t<li><em>Acanthamoeba</em>&nbsp;is a ubiquitous free-living protozoan</li>\n\t<li>Use of unpreserved solutions, tap water, fresh water or poor hygiene</li>\n\t<li>Aggressive infection of the cornea</li>\n\t<li>The cyst form of this organism accounts for its resistance to treatment</li>\n</ul>\n\n<h2>Prevalence</h2>\n\n<ul>\n\t<li>Rare</li>\n</ul>\n\n<h2>Differential Diagnosis</h2>\n\n<ul>\n\t<li>Herpes simplex keratitis</li>\n\t<li>See: <a href=\"/condition/66\">Infiltrates and Opacities &ndash; Differential Diagnosis</a></li>\n\t<li>Erosion</li>\n</ul>\n\n<h2>Management</h2>\n\n<ul>\n\t<li>Early diagnosis and treatment by a corneal specialist is essential.</li>\n\t<li>Avoidance is preferable. Avoid unpreserved saline, tap water or other unpreserved solutions, exposure to hot-tubs, and stagnant fresh-water ponds.</li>\n\t<li>Replace lens storage case regularly to avoid biofilm buildup; avoid using tap-water to rinse case.</li>\n\t<li>Treatment with a combination of anti-amoebic and trophozoicidal drugs [eg, propamidine, neomycin and 0.02% polyhexammethylene-biguanide (PHMB)].</li>\n\t<li>To minimize risk, consider DD lenses.</li>\n</ul>",
        "images": [
            {
                "name": "Acanthamoeba Infection",
                "file": "https://cclm-static.s3.amazonaws.com/images/acanthamoeba_zoom.jpg"
            }
        ],
        "type": 1,
        "videos": [],
        "wear": false,
        "ceaseWear": true,
        "changeLens": false,
        "changeSolutions": false,
        "changeCare": false,
        "counseling": true,
        "dd": true,
        "dw": false,
        "gp": false,
        "replace": false,
        "review": true,
        "rewettingDrops": false,
        "rx": true,
        "SiHy": false,
        "toric": false,
        "tags": []
    },
    {
        "id": 6,
        "url": "https://cclm.media-doc.io/conditions/6/?format=api",
        "name": "Contact Lens Peripheral Ulcer (CLPU)",
        "category": "Cornea",
        "detail": "<p>Contact lens peripheral ulcer, culture negative peripheral ulcer, sterile corneal ulcer, sterile infiltrate</p>\n\n<h2>Symptoms</h2>\n\n<ul>\n\t<li>Moderate foreign body sensation. None in some cases</li>\n\t<li>Redness</li>\n\t<li>Mild photophobia</li>\n\t<li>Symptoms reduce on lens removal</li>\n</ul>\n\n<h2>Signs</h2>\n\n<ul>\n\t<li>Distinctive, circular infiltrate towards periphery of the cornea</li>\n\t<li>Infiltrate has clearly defined margins, size 0.2 to 1.0mm</li>\n\t<li>Overlying epithelial staining occurs early in the condition</li>\n\t<li>Generally leaves a small scar which fades over time</li>\n</ul>\n\n<h2>Etiology</h2>\n\n<ul>\n\t<li>Non-infectious, infiltrative response to gram positive bacterial exotoxins</li>\n</ul>\n\n<h2>Prevalence</h2>\n\n<ul>\n\t<li>Rare in DW, infrequent in EW</li>\n</ul>\n\n<h2>Differential Diagnosis</h2>\n\n<ul>\n\t<li><a href=\"/condition/24\">Ulcerative (microbial) keratitis</a> .&nbsp;This is the vital differential diagnosis. If in doubt, treat as microbial keratitis</li>\n\t<li><a href=\"/condition/20\">Infiltrates</a> , marginal keratitis and&nbsp;<a href=\"/condition/18\">CLARE</a>.&nbsp;<a href=\"/condition/6\">CLPU</a>&nbsp;is a variation of these other sterile, infiltrative conditions due to different exotoxins and/or endotoxins being involved</li>\n\t<li>Herpes Simplex, corneal dystrophies, stromal scar</li>\n\t<li><a href=\"/condition/66\">See: Infiltrates and Opacities &ndash; Differential Diagnosis</a></li>\n</ul>\n\n<h2>Management</h2>\n\n<ul>\n\t<li>Cease lens wear immediately</li>\n\t<li>If doubt as to whether infectious or sterile, treat as infectious. Start topical antibiotic</li>\n\t<li>Ocular lubricants, steroid/antibiotic combination topical treatment</li>\n\t<li>Review within 24 hours</li>\n\t<li>Recurrence is likely, limit EW to 6N</li>\n\t<li>Consider DD, and lid hygiene</li>\n</ul>",
        "images": [
            {
                "name": "Contact Lens Peripheral Ulcer (CLPU)",
                "file": "https://cclm-static.s3.amazonaws.com/images/clpu-01_zoom.jpg"
            },
            {
                "name": "Contact Lens Peripheral Ulcer (CLPU)",
                "file": "https://cclm-static.s3.amazonaws.com/images/clpu-02_zoom.jpg"
            }
        ],
        "type": 1,
        "videos": [
            {
                "name": "Contact Lens Peripheral Ulcer (CLPU) - White Light",
                "videoSrc": "248362010"
            },
            {
                "name": "Old CLPU Scars - Central Cornea",
                "videoSrc": "248362178"
            }
        ],
        "wear": false,
        "ceaseWear": true,
        "changeLens": false,
        "changeSolutions": false,
        "changeCare": false,
        "counseling": false,
        "dd": true,
        "dw": true,
        "gp": false,
        "replace": false,
        "review": true,
        "rewettingDrops": false,
        "rx": true,
        "SiHy": false,
        "toric": false,
        "tags": []
    },
    {
        "id": 11,
        "url": "https://cclm.media-doc.io/conditions/11/?format=api",
        "name": "Epithelial Edema",
        "category": "Cornea",
        "detail": "<p>Sattler&rsquo;s veil, microcystic edema</p>\n\n<h2>Symptoms</h2>\n\n<ul>\n\t<li>Colored haloes around lights</li>\n\t<li>Photophobia</li>\n\t<li>Can have debilitating effect on vision</li>\n</ul>\n\n<h2>Signs</h2>\n\n<ul>\n\t<li>Hazy cornea, when viewed with sclerotic scatter or retro illumination</li>\n</ul>\n\n<h2>Etiology</h2>\n\n<ul>\n\t<li>Extracellular edema around basal epithelial cells</li>\n\t<li>Occurs with exposure to hypotonic solutions, reflex tearing, or during adaptation to low oxygen transmissibility lenses</li>\n\t<li>Can also occur with chronic stromal edema</li>\n</ul>\n\n<h2>Prevalence</h2>\n\n<ul>\n\t<li>Rare</li>\n</ul>\n\n<h2>Differential Diagnosis</h2>\n\n<ul>\n\t<li>Edema &ndash;&nbsp;<a href=\"/condition/14\">Stromal</a>,&nbsp;<a href=\"/condition/10\">dimple veiling</a>,&nbsp;<a href=\"/condition/25\">microcysts and vacuoles</a></li>\n\t<li>See: <a href=\"/condition/66\">Infiltrates and Opacities &ndash; Differential Diagnosis</a></li>\n</ul>\n\n<h2>Management</h2>\n\n<ul>\n\t<li>Increase oxygen permeability of soft or rigid lenses</li>\n</ul>",
        "images": [
            {
                "name": "Epithelial Edema",
                "file": "https://cclm-static.s3.amazonaws.com/images/edema-epithelial_zoom.jpg"
            }
        ],
        "type": 1,
        "videos": [],
        "wear": true,
        "ceaseWear": false,
        "changeLens": true,
        "changeSolutions": false,
        "changeCare": false,
        "counseling": false,
        "dd": false,
        "dw": false,
        "gp": false,
        "replace": false,
        "review": false,
        "rewettingDrops": false,
        "rx": false,
        "SiHy": false,
        "toric": false,
        "tags": []
    },
    {
        "id": 77,
        "url": "https://cclm.media-doc.io/conditions/77/?format=api",
        "name": "E. Conical beam",
        "category": "Biomicroscope",
        "detail": "<h2>Overview</h2>\n\n<ul>\n\t<li>A conical beam is useful for assessing the anterior chamber and anterior vitreous</li>\n\t<li>It is used to look for the presence of either cells (flare) or pigment in the aqueous or vitreous</li>\n</ul>\n\n<p>&nbsp;</p>\n\n<h2>Set Up</h2>\n\n<ul>\n\t<li>Room lights should be turned off and time given for the practitioner to dark adapt</li>\n\t<li>The light beam is adjusted to a narrow width</li>\n\t<li>The height of the beam is reduced until it forms a small circular shape</li>\n\t<li>High magnification is used</li>\n\t<li>The biomicroscope is focussed on the anterior chamber or anterior vitreous</li>\n\t<li>Detection of cells&nbsp;or pigment is enhanced by asking the patient to move their eyes and then watching for any movement&nbsp; as they look straight ahead again&nbsp;</li>\n</ul>\n\n<p>&nbsp;</p>\n\n<h2>Useful when assessing</h2>\n\n<ul>\n\t<li>Looking for signs of active inflammation - flare (Tyndall effect)</li>\n\t<li>Looking for signs of retinal detatchment - pigment (Schaeffer&#39;s sign)</li>\n</ul>\n\n<p>&nbsp;</p>",
        "images": [
            {
                "name": "Conical beam",
                "file": "https://cclm-static.s3.amazonaws.com/images/CORE_Conical.png"
            }
        ],
        "type": 1,
        "videos": [
            {
                "name": "Conical Beam",
                "videoSrc": "267427065"
            }
        ],
        "wear": false,
        "ceaseWear": false,
        "changeLens": false,
        "changeSolutions": false,
        "changeCare": false,
        "counseling": false,
        "dd": false,
        "dw": false,
        "gp": false,
        "replace": false,
        "review": false,
        "rewettingDrops": false,
        "rx": false,
        "SiHy": false,
        "toric": false,
        "tags": [
            {
                "id": 7,
                "url": "https://cclm.media-doc.io/tags/7/?format=api",
                "name": "conditions"
            }
        ]
    },
    {
        "id": 16,
        "url": "https://cclm.media-doc.io/conditions/16/?format=api",
        "name": "Corneal Folds and Striae",
        "category": "Cornea",
        "detail": "<h2>Symptoms</h2>\n\n<ul>\n\t<li>May be asymptomatic</li>\n\t<li>Glare sensitivity in some cases</li>\n</ul>\n\n<h2>Signs</h2>\n\n<ul>\n\t<li>Folds appear as long straight dark lines in the posterior stroma, as observed in the specular reflex</li>\n\t<li>Striae appear as fine white vertical lines, which tend not to branch, in the posterior stroma</li>\n\t<li>Observed in early morning with EW lenses or high plus DW hydrogel lenses</li>\n</ul>\n\n<h2>Etiology</h2>\n\n<ul>\n\t<li>Increased hydration in posterior stroma results in separation of the ordered collagen structure</li>\n\t<li>Folds occur with edema of &gt;8%.</li>\n\t<li>Striae occur if stromal edema is &gt; 5%, with the number of striae related to the degree of corneal swelling</li>\n</ul>\n\n<h2>Prevalence</h2>\n\n<ul>\n\t<li>Occasional. Rare with modern lenses</li>\n</ul>\n\n<h2>Differential Diagnosis</h2>\n\n<ul>\n\t<li>Corneal nerves (can usually be traced to the limbus)</li>\n\t<li>Ghost blood vessels</li>\n\t<li><a href=\"/condition/23\">Keratoconus</a>&nbsp;(striae are much smaller, thinner, and more localised at the apex of the cornea)</li>\n\t<li><a href=\"/condition/61\">Corneal Dystrophies</a></li>\n\t<li>See: <a href=\"/condition/66\">Infiltrates and Opacities &ndash; Differential Diagnosis</a></li>\n\t<li>See: <a href=\"/condition/62\">Endothelial changes &ndash; Differential Diagnosis</a></li>\n</ul>\n\n<h2>Management</h2>\n\n<ul>\n\t<li>Improve lens Dk/t or Change to DW</li>\n\t<li>Manage same as for stromal edema</li>\n</ul>",
        "images": [
            {
                "name": "Corneal Folds and Striae",
                "file": "https://cclm-static.s3.amazonaws.com/images/folds-striae_zoom.jpg"
            }
        ],
        "type": 1,
        "videos": [],
        "wear": true,
        "ceaseWear": false,
        "changeLens": false,
        "changeSolutions": false,
        "changeCare": false,
        "counseling": false,
        "dd": false,
        "dw": true,
        "gp": false,
        "replace": false,
        "review": false,
        "rewettingDrops": false,
        "rx": false,
        "SiHy": true,
        "toric": false,
        "tags": []
    },
    {
        "id": 23,
        "url": "https://cclm.media-doc.io/conditions/23/?format=api",
        "name": "Keratoconus",
        "category": "Cornea",
        "detail": "<p>Corneal distortion, irregular astigmatism, conical cornea</p>\n\n<h2>Symptoms</h2>\n\n<ul>\n\t<li>Blurry vision</li>\n</ul>\n\n<h2>Signs</h2>\n\n<ul>\n\t<li>Oval shaped distorted keratometric mires</li>\n\t<li>Steepening of apical corneal curvature &ge;47 D</li>\n\t<li>Apex of cornea typically inferior and laterally displaced</li>\n\t<li>Difference in corneal power &ge;1.50D at locations 3mm above and below the visual axis</li>\n\t<li>Cylindrical correction increasing / irregular astigmatism / poor spectacle acuity</li>\n\t<li>Vogt&rsquo;s striae (small centrally located striae)</li>\n\t<li>Central scarring may occur, Kaiser Fleischer ring</li>\n\t<li>Corneal topography shows inferior or central steepening (red area)</li>\n</ul>\n\n<h2>Etiology</h2>\n\n<ul>\n\t<li>Ectatic corneal disease in which cornea thins and distorts</li>\n\t<li>Collagen disorder of cornea</li>\n\t<li>Age of onset is usually teens to twenties</li>\n</ul>\n\n<h2>Prevalence</h2>\n\n<ul>\n\t<li>Occasional</li>\n</ul>\n\n<h2>Differential Diagnosis</h2>\n\n<ul>\n\t<li><a href=\"/condition/61\">See: Distortion of the Cornea &ndash; Differential Diagnosis</a></li>\n</ul>\n\n<h2>Management</h2>\n\n<ul>\n\t<li>Fit with GP lenses to achieve good visual acuity</li>\n\t<li>Monitor regularly for progression</li>\n\t<li>A contraindication for refractive surgery</li>\n\t<li>Frequently GP lens wear provides sufficiently good vision such that surgery can be avoided</li>\n</ul>",
        "images": [
            {
                "name": "Keratoconus",
                "file": "https://cclm-static.s3.amazonaws.com/images/keratoconus-01_zoom.jpg"
            },
            {
                "name": "Keratoconus",
                "file": "https://cclm-static.s3.amazonaws.com/images/keratoconus-02_zoom.jpg"
            }
        ],
        "type": 1,
        "videos": [
            {
                "name": "Keratonconus with Intacs and Soft Lens",
                "videoSrc": "248362055"
            }
        ],
        "wear": false,
        "ceaseWear": false,
        "changeLens": true,
        "changeSolutions": false,
        "changeCare": false,
        "counseling": false,
        "dd": false,
        "dw": false,
        "gp": true,
        "replace": false,
        "review": false,
        "rewettingDrops": false,
        "rx": false,
        "SiHy": false,
        "toric": false,
        "tags": []
    },
    {
        "id": 14,
        "url": "https://cclm.media-doc.io/conditions/14/?format=api",
        "name": "Edema - Stromal",
        "category": "Cornea",
        "detail": "<h2>Symptoms</h2>\n\n<ul>\n\t<li>Slight visual disturbance&nbsp;if greater than 10% edema</li>\n</ul>\n\n<h2>Signs</h2>\n\n<ul>\n\t<li>Stromal folds and striae</li>\n\t<li>Localized edema will be visible as hazy grey region of cornea</li>\n\t<li>DW lenses result in 2% to 7% edema</li>\n\t<li>Conventional EW results in 7% to 14% edema</li>\n\t<li>SiHy EW results in to 2% to 4% edema</li>\n</ul>\n\n<h2>Etiology</h2>\n\n<ul>\n\t<li>Hypoxia results in accumulation of lactic acid within the stroma, which produces an osmotic gradient, resulting in an ingress of fluid and increased hydration of the corneal stroma</li>\n</ul>\n\n<h2>Prevalence</h2>\n\n<ul>\n\t<li>Occasional</li>\n</ul>\n\n<h2>Differential Diagnosis</h2>\n\n<ul>\n\t<li>Inflammatory edematous reactions</li>\n\t<li><a href=\"/condition/11\">See: Edema- Epithelial</a></li>\n</ul>\n\n<h2>Management</h2>\n\n<ul>\n\t<li>Consider SiHy lenses for DW or EW</li>\n\t<li>Reduce wearing time, or cease EW of low-Dk lenses</li>\n</ul>",
        "images": [
            {
                "name": "Edema - Stromal",
                "file": "https://cclm-static.s3.amazonaws.com/images/edema-stromal_zoom.jpg"
            }
        ],
        "type": 1,
        "videos": [],
        "wear": true,
        "ceaseWear": false,
        "changeLens": true,
        "changeSolutions": false,
        "changeCare": false,
        "counseling": false,
        "dd": false,
        "dw": true,
        "gp": false,
        "replace": false,
        "review": false,
        "rewettingDrops": false,
        "rx": false,
        "SiHy": true,
        "toric": false,
        "tags": [
            {
                "id": 7,
                "url": "https://cclm.media-doc.io/tags/7/?format=api",
                "name": "conditions"
            }
        ]
    },
    {
        "id": 32,
        "url": "https://cclm.media-doc.io/conditions/32/?format=api",
        "name": "Conjunctival Staining",
        "category": "Conjunctiva",
        "detail": "<p>Lens edge-related staining</p>\n\n<h2>Symptoms</h2>\n\n<ul>\n\t<li>Often asymptomatic</li>\n\t<li>Dryness</li>\n</ul>\n\n<h2>Signs</h2>\n\n<ul>\n\t<li>Lens edge&nbsp;stain</li>\n\t<li>Best viewed with sodium fluorescein, cobalt blue filter, and yellow Wratten filter #12</li>\n\t<li>Punctate or confluent staining</li>\n</ul>\n\n<h2>Etiology</h2>\n\n<ul>\n\t<li>Mechanical trauma of conjunctival epithelium, tight lens or excessive movement of loose lens</li>\n\t<li>Indicative of surface disruption of the bulbar conjunctiva</li>\n</ul>\n\n<h2>Prevalence</h2>\n\n<ul>\n\t<li>Common</li>\n</ul>\n\n<h2>Differential Diagnosis</h2>\n\n<ul>\n\t<li><a href=\"/condition/29\">Conjunctival Indentation</a></li>\n\t<li><a href=\"/condition/69\">Conjunctival dryness</a></li>\n</ul>\n\n<h2>Management</h2>\n\n<ul>\n\t<li>May require no management</li>\n\t<li>Limbal staining related to rough edges or tight fit of soft lenses. Consider changing lens design, fit or material</li>\n\t<li>If symptoms of dryness are severe, treat as for dryness with re-wetting agents</li>\n</ul>",
        "images": [
            {
                "name": "Conjunctival Staining",
                "file": "https://cclm-static.s3.amazonaws.com/images/edge-staining-01.jpg"
            }
        ],
        "type": 1,
        "videos": [],
        "wear": false,
        "ceaseWear": false,
        "changeLens": true,
        "changeSolutions": false,
        "changeCare": false,
        "counseling": true,
        "dd": false,
        "dw": false,
        "gp": false,
        "replace": false,
        "review": false,
        "rewettingDrops": true,
        "rx": false,
        "SiHy": false,
        "toric": false,
        "tags": [
            {
                "id": 7,
                "url": "https://cclm.media-doc.io/tags/7/?format=api",
                "name": "conditions"
            }
        ]
    },
    {
        "id": 36,
        "url": "https://cclm.media-doc.io/conditions/36/?format=api",
        "name": "Staining– Superior Epithelial Arcuate Lesion (SEAL)",
        "category": "Cornea",
        "detail": "<h2>Symptoms</h2>\n\n<ul>\n\t<li>None to mild discomfort</li>\n</ul>\n\n<h2>Signs</h2>\n\n<ul>\n\t<li>Superficial arcuate staining of superior cornea. Lesion is between 10 and 2 o&rsquo;clock and is parallel to limbus. Often unilateral and asymmetric</li>\n</ul>\n\n<h2>Etiology</h2>\n\n<ul>\n\t<li>Arcuate disruption of the peripheral corneal surface sparing the limbus</li>\n\t<li>Likely to occur in superior region of cornea normally covered by the upper eyelid</li>\n</ul>\n\n<h2>Prevalence</h2>\n\n<ul>\n\t<li>Rare. More common with EW and with stiffer lens materials (SiHy)</li>\n</ul>\n\n<h2>Differential Diagnosis</h2>\n\n<ul>\n\t<li><a href=\"/condition/65\">Other staining patterns</a></li>\n\t<li><a href=\"/condition/3\">SLK</a></li>\n\t<li>See: <a href=\"/condition/65\">Epithelial Fluorescein Staining &ndash; Differential Diagnosis</a></li>\n</ul>\n\n<h2>Management</h2>\n\n<ul>\n\t<li>Closely monitor for resolution if associated with EW lenses</li>\n\t<li>If staining is more severe, then cessation of wear is required with the addition of rewetting drops</li>\n\t<li>Refit if persistent to a daily disposable, a higher water content, a more aspheric back surface, or a lower modulus material</li>\n</ul>",
        "images": [
            {
                "name": "Staining– Superior Epithelial Arcuate Lesion (SEAL)",
                "file": "https://cclm-static.s3.amazonaws.com/images/staining-seal-01_zoom.jpg"
            },
            {
                "name": "Staining– Superior Epithelial Arcuate Lesion (SEAL)",
                "file": "https://cclm-static.s3.amazonaws.com/images/staining-seal-02_zoom.jpg"
            }
        ],
        "type": 1,
        "videos": [
            {
                "name": "SEAL - Sodium Fluorescein Stain (Large)",
                "videoSrc": "248362195"
            },
            {
                "name": "SEAL - White Light",
                "videoSrc": "248362215"
            },
            {
                "name": "SEAL - Sodium Fluorescein Stain (Narrow)",
                "videoSrc": "248362208"
            }
        ],
        "wear": false,
        "ceaseWear": true,
        "changeLens": true,
        "changeSolutions": false,
        "changeCare": false,
        "counseling": false,
        "dd": true,
        "dw": false,
        "gp": false,
        "replace": false,
        "review": true,
        "rewettingDrops": true,
        "rx": true,
        "SiHy": true,
        "toric": false,
        "tags": []
    },
    {
        "id": 48,
        "url": "https://cclm.media-doc.io/conditions/48/?format=api",
        "name": "Binding – RGP",
        "category": "Contact Lens",
        "detail": "<p>Adherence, lens edge imprint</p>\n\n<h2>Symptoms</h2>\n\n<ul>\n\t<li>Patient may be asymptomatic</li>\n\t<li>Lens removal maybe difficult</li>\n\t<li>Spectacle blur following lens removal</li>\n</ul>\n\n<h2>Signs</h2>\n\n<ul>\n\t<li>Immobile, decentred lens</li>\n\t<li>Indentation ring remains when lens is removed</li>\n\t<li>Corneal topography may show distortion</li>\n</ul>\n\n<h2>Etiology</h2>\n\n<ul>\n\t<li>Due to mechanical imprint of immobile GP lens in EW</li>\n\t<li>Most common on eye opening after overnight wear</li>\n\t<li>May be linked with too little edge clearance</li>\n</ul>\n\n<h2>Prevalence</h2>\n\n<ul>\n\t<li>Occasional. Rare in daily wear; more likely with EW</li>\n</ul>\n\n<h2>Differential Diagnosis</h2>\n\n<ul>\n\t<li>See:&nbsp;<a href=\"/condition/61\">Corneal Distortion &ndash; Differential Diagnosis</a></li>\n</ul>\n\n<h2>Management</h2>\n\n<ul>\n\t<li>Increase lens mobility by reducing overall diameter, changing base curve (flatter or steeper may work) or increase edge clearance</li>\n\t<li>Change to DW RGP</li>\n\t<li>Advise patient to check for binding each morning</li>\n\t<li>Wetting drops on waking to replenish the post-lens tear film may assist</li>\n</ul>\n\n<h2>&nbsp;</h2>\n\n<p>&nbsp;</p>\n\n<p>&nbsp;</p>",
        "images": [
            {
                "name": "Binding – RGP",
                "file": "https://cclm-static.s3.amazonaws.com/images/binding-rgp.jpg"
            },
            {
                "name": "Binding – RGP",
                "file": "https://cclm-static.s3.amazonaws.com/images/binding-rgp-02.jpg"
            }
        ],
        "type": 1,
        "videos": [],
        "wear": false,
        "ceaseWear": false,
        "changeLens": true,
        "changeSolutions": false,
        "changeCare": false,
        "counseling": false,
        "dd": false,
        "dw": true,
        "gp": false,
        "replace": false,
        "review": false,
        "rewettingDrops": false,
        "rx": false,
        "SiHy": false,
        "toric": false,
        "tags": []
    },
    {
        "id": 34,
        "url": "https://cclm.media-doc.io/conditions/34/?format=api",
        "name": "Staining - Confluent",
        "category": "Cornea",
        "detail": "<h2>Symptoms</h2>\n\n<ul>\n\t<li>Discomfort, which may persist for some time following lens removal</li>\n</ul>\n\n<h2>Signs</h2>\n\n<ul>\n\t<li>Large area of disruption of the corneal epithelium</li>\n\t<li>Corneal fluorescein staining over a substantial area</li>\n\t<li>Configurations vary</li>\n</ul>\n\n<h2>Etiology</h2>\n\n<ul>\n\t<li>Indicates moderate to severe disruption of the epithelium</li>\n\t<li>May result from abrasions, foreign body under the lens, major toxic response or severe metabolic insult. May also result from a bound rigid/orthokeratology lens (after overnight wear)</li>\n</ul>\n\n<h2>Prevalence</h2>\n\n<ul>\n\t<li>Occasional</li>\n</ul>\n\n<h2>Differential Diagnosis</h2>\n\n<ul>\n\t<li><a href=\"/condition/65\">Other staining patterns</a></li>\n\t<li><a href=\"/condition/24\">Microbial keratitis</a></li>\n\t<li>See: <a href=\"/condition/65\">Epithelial Fluorescein Staining &ndash; Differential Diagnosis</a></li>\n</ul>\n\n<h2>Management</h2>\n\n<ul>\n\t<li>Cease lens wear until epithelial disruption is repaired</li>\n\t<li>Isolate cause of condition and take remedial action</li>\n\t<li>Prophylactic antibiotics (ensure pseudomonas coverage) may be advisable and rewetting drops are recommended</li>\n\t<li>May consider a topical analgesic or SCL bandage lens if discomfort is severe</li>\n\t<li>Monitor in 24-48 hours until epithelium is healed</li>\n</ul>",
        "images": [
            {
                "name": "Staining - Confluent",
                "file": "https://cclm-static.s3.amazonaws.com/images/staining-confluent-01_zoom.jpg"
            },
            {
                "name": "Staining - Confluent",
                "file": "https://cclm-static.s3.amazonaws.com/images/staining-confluent-02_zoom.jpg"
            }
        ],
        "type": 1,
        "videos": [],
        "wear": false,
        "ceaseWear": true,
        "changeLens": false,
        "changeSolutions": false,
        "changeCare": false,
        "counseling": true,
        "dd": false,
        "dw": false,
        "gp": false,
        "replace": false,
        "review": true,
        "rewettingDrops": true,
        "rx": true,
        "SiHy": false,
        "toric": false,
        "tags": []
    },
    {
        "id": 35,
        "url": "https://cclm.media-doc.io/conditions/35/?format=api",
        "name": "Staining – 3 & 9 O’Clock",
        "category": "Cornea",
        "detail": "<h2>Symptoms</h2>\n\n<ul>\n\t<li>May be associated with lens intolerance, reduced wear time, dryness</li>\n</ul>\n\n<h2>Signs</h2>\n\n<ul>\n\t<li>Fluorescein, rose Bengal and/or lissamine green staining in the nasal and temporal corneal margins adjacent to the lens edge</li>\n\t<li>Conjunctival hyperemia along horizontal meridian</li>\n</ul>\n\n<h2>Etiology</h2>\n\n<ul>\n\t<li>Disruption of the epithelial surface due to tear film breakdown, incomplete blinking, or desiccation</li>\n</ul>\n\n<h2>Prevalence</h2>\n\n<ul>\n\t<li>Common in rigid lens wearers</li>\n</ul>\n\n<h2>Differential Diagnosis</h2>\n\n<ul>\n\t<li><a href=\"/condition/65\">Other staining patterns</a></li>\n\t<li><a href=\"/condition/7\">Dellen</a></li>\n\t<li>Pseudopterygium</li>\n\t<li><a href=\"/condition/65\">See: Epithelial Fluorescein Staining &ndash; Differential Diagnosis</a></li>\n</ul>\n\n<h2>Management</h2>\n\n<ul>\n\t<li>Aim to improve the centration of the GP lens</li>\n\t<li>Blinking exercises</li>\n\t<li>Refit with larger diameter lens and thinner edge design</li>\n\t<li>Refit with a GP toric lens if the cornea is &gt;2D toric</li>\n\t<li>Refit with SiHys if GP lens fitting cannot be improved</li>\n\t<li>Ocular lubricants and/or blinking exercises</li>\n</ul>",
        "images": [
            {
                "name": "Staining – 3 & 9 O’Clock",
                "file": "https://cclm-static.s3.amazonaws.com/images/staining-3-9-oclock-01_zoom.jpg"
            },
            {
                "name": "Staining – 3 & 9 O’Clock",
                "file": "https://cclm-static.s3.amazonaws.com/images/staining-3-9-oclock-02_zoom.jpg"
            }
        ],
        "type": 1,
        "videos": [],
        "wear": false,
        "ceaseWear": false,
        "changeLens": true,
        "changeSolutions": false,
        "changeCare": false,
        "counseling": false,
        "dd": false,
        "dw": false,
        "gp": true,
        "replace": false,
        "review": true,
        "rewettingDrops": true,
        "rx": false,
        "SiHy": true,
        "toric": false,
        "tags": []
    },
    {
        "id": 18,
        "url": "https://cclm.media-doc.io/conditions/18/?format=api",
        "name": "C.L.A.R.E.",
        "category": "Conjunctiva",
        "detail": "<p>Contact lens relate acute red eye, acute red eye, tight lens syndrome</p>\n\n<h2>Symptoms</h2>\n\n<ul>\n\t<li>Early morning, acute onset</li>\n\t<li>Painful, red eye</li>\n\t<li>Photophobia</li>\n\t<li>Lacrimation</li>\n</ul>\n\n<h2>Signs</h2>\n\n<ul>\n\t<li>Acute, usually unilateral, bulbar hyperemia (&gt; grade 2).</li>\n\t<li>Small focal, diffuse peripheral infiltrates may be present.</li>\n</ul>\n\n<h2>Etiology</h2>\n\n<ul>\n\t<li>Inflammatory reaction of the cornea and conjunctiva usually following overnight lens wear.</li>\n\t<li>Due to contamination of the lens with gram negative bacteria.</li>\n\t<li>Often minimal or no corneal staining</li>\n</ul>\n\n<h2>Prevalence</h2>\n\n<ul>\n\t<li>Rare in DW, infrequent in EW.</li>\n</ul>\n\n<h2>Differential Diagnosis</h2>\n\n<ul>\n\t<li><a href=\"/condition/24\">Microbial keratitis</a></li>\n\t<li><a href=\"/condition/66\">See: Infiltrates and Opacities &ndash; Differential Diagnosis</a></li>\n\t<li><a href=\"/condition/42\">Hyperemia &ndash; sectorial, bulbar</a></li>\n</ul>\n\n<h2>Management</h2>\n\n<ul>\n\t<li>Cease wear immediately</li>\n\t<li>Consider therapeutic treatment for large (&gt;0.5mm) infiltrate(s), if diagnosis is uncertain or for significant discomfort.</li>\n\t<li>Review within 24 hours and confirm diagnosis.</li>\n\t<li>Wear may be resumed when infiltrates resolve. Hyperemia resolves rapidly, infiltrate resolution may take several weeks.</li>\n\t<li>Reduce EW schedule after resolution, consider refit with looser lens or switch to DW. Discuss hygiene habits to prevent contamination of the lenses with bacteria.</li>\n</ul>",
        "images": [
            {
                "name": "C.L.A.R.E.",
                "file": "https://cclm-static.s3.amazonaws.com/images/clare-01.jpg"
            },
            {
                "name": "C.L.A.R.E.",
                "file": "https://cclm-static.s3.amazonaws.com/images/clare-02.jpg"
            }
        ],
        "type": 1,
        "videos": [],
        "wear": true,
        "ceaseWear": true,
        "changeLens": false,
        "changeSolutions": false,
        "changeCare": false,
        "counseling": true,
        "dd": false,
        "dw": true,
        "gp": false,
        "replace": false,
        "review": false,
        "rewettingDrops": false,
        "rx": true,
        "SiHy": false,
        "toric": false,
        "tags": []
    },
    {
        "id": 38,
        "url": "https://cclm.media-doc.io/conditions/38/?format=api",
        "name": "Contact Lens Papillary Conjunctivitis",
        "category": "Conjunctiva",
        "detail": "<p>CLPC, Giant Papillary Conjunctivitis (GPC), CLAPC, CLIPC, lid roughness</p>\n\n<h2>Symptoms</h2>\n\n<ul>\n\t<li>Intense Itching</li>\n\t<li>Lens awareness</li>\n\t<li>Blurred vision</li>\n</ul>\n\n<h2>Signs</h2>\n\n<ul>\n\t<li>Papillae, &gt;1 mm diameter in GPC</li>\n\t<li>Hyperemia of the palpebral conjunctiva</li>\n\t<li>Increased lens movement</li>\n\t<li>Mucus discharge</li>\n\t<li>Protein deposits on lens surface</li>\n</ul>\n\n<h2>Etiology</h2>\n\n<ul>\n\t<li>Allergic, mechanical, or combination reaction of superior conjunctival tarsal plate</li>\n\t<li>More common in soft than GP lens wear</li>\n\t<li>Can be related to solution sensitivity to preservatives</li>\n</ul>\n\n<h2>Prevalence</h2>\n\n<ul>\n\t<li>Infrequent with disposable/frequently replaced lens materials</li>\n\t<li>More common with stiffer lens materials</li>\n</ul>\n\n<h2>Differential Diagnosis</h2>\n\n<ul>\n\t<li>Vernal keratoconjunctivitis</li>\n\t<li>Normal appearance of a few papillae around edge of tarsal plate (junctional conjunctiva)</li>\n\t<li>Viral or follicular conjunctivitis</li>\n\t<li>See: <a href=\"/condition/64\">Palpebral Conjunctival Inflammation &ndash; Differential Diagnosis</a></li>\n</ul>\n\n<h2>Management</h2>\n\n<ul>\n\t<li>Cease lens wear until inflammation subsides</li>\n\t<li>Refit with DD or GP lenses or alternative soft lens materials</li>\n\t<li>Reduce wearing time</li>\n\t<li>Antihistamine + mast cell stabilizer combination or steroid therapy</li>\n</ul>",
        "images": [
            {
                "name": "Contact Lens Papillary Conjunctivitis",
                "file": "https://cclm-static.s3.amazonaws.com/images/clpc.jpg"
            },
            {
                "name": "Contact Lens Papillary Conjunctivitis",
                "file": "https://cclm-static.s3.amazonaws.com/images/gpc.jpg"
            }
        ],
        "type": 1,
        "videos": [
            {
                "name": "Contact Lens Papillary Conjunctivitis (CLPC) - Severe (White Light)",
                "videoSrc": "255944692"
            },
            {
                "name": "Contact Lens Papillary Conjunctivitis (CLPC) - Sodium Fluorescein Stain",
                "videoSrc": "255945089"
            }
        ],
        "wear": true,
        "ceaseWear": false,
        "changeLens": true,
        "changeSolutions": false,
        "changeCare": false,
        "counseling": false,
        "dd": true,
        "dw": true,
        "gp": false,
        "replace": false,
        "review": false,
        "rewettingDrops": false,
        "rx": true,
        "SiHy": false,
        "toric": false,
        "tags": []
    },
    {
        "id": 42,
        "url": "https://cclm.media-doc.io/conditions/42/?format=api",
        "name": "Hyperemia - Sectoral",
        "category": "Conjunctiva",
        "detail": "<p>Allergic or inflammatory reaction</p>\n\n<h2>Symptoms</h2>\n\n<ul>\n\t<li>Discomfort associated with primary cause</li>\n</ul>\n\n<h2>Signs</h2>\n\n<ul>\n\t<li>Localized region of hyperemia extending from limbus</li>\n\t<li>Most often seen at 4 and 8 o&rsquo;clock positions</li>\n\t<li>Region of hyperemia may be adjacent to peripheral infiltrates</li>\n</ul>\n\n<h2>Etiology</h2>\n\n<ul>\n\t<li>Sectoral hyperemia usually adjacent to infiltrates</li>\n\t<li>Can be associated with blepharitis and meibomian gland dysfunction, in which gram positive toxins can be taken up by the lens and result in an inflammatory complication</li>\n</ul>\n\n<h2>Prevalence</h2>\n\n<ul>\n\t<li>Rare</li>\n</ul>\n\n<h2>Differential Diagnosis</h2>\n\n<ul>\n\t<li>See: <a href=\"/condition/63\">Hyperemia and Vascularization &ndash; Differential Diagnosis</a></li>\n\t<li><a href=\"/condition/18\">CLARE</a>,&nbsp;<a href=\"/condition/6\">CLPU</a>,&nbsp;<a href=\"/condition/20\">Infiltrates</a></li>\n\t<li>Ocular Rosacea</li>\n</ul>\n\n<h2>Management</h2>\n\n<ul>\n\t<li>Cease lens wear</li>\n\t<li>Anti-inflammatory or anti-bacterials as necessary</li>\n\t<li>Rewetting drops may help to flush away bacterial toxins if due to lid disease</li>\n</ul>",
        "images": [
            {
                "name": "Hyperemia - Sectoral",
                "file": "https://cclm-static.s3.amazonaws.com/images/sectoral-hyperemia-01_zoom.jpg"
            }
        ],
        "type": 1,
        "videos": [],
        "wear": false,
        "ceaseWear": true,
        "changeLens": false,
        "changeSolutions": false,
        "changeCare": false,
        "counseling": false,
        "dd": false,
        "dw": false,
        "gp": false,
        "replace": false,
        "review": false,
        "rewettingDrops": true,
        "rx": true,
        "SiHy": false,
        "toric": false,
        "tags": []
    },
    {
        "id": 56,
        "url": "https://cclm.media-doc.io/conditions/56/?format=api",
        "name": "Lens Misfitting - Soft",
        "category": "Contact Lens",
        "detail": "<p>Decentration, excess movement, immobile lens</p>\n\n<h2>Symptoms</h2>\n\n<ul>\n\t<li>Excessive lens awareness</li>\n\t<li>Visual fluctuation</li>\n\t<li>Other (typically inflammatory) complications in cases of a marked lack of lens movement</li>\n</ul>\n\n<h2>Signs</h2>\n\n<ul>\n\t<li>Decentered lens</li>\n\t<li>Immobile or excessively mobile lens</li>\n\t<li>Lens edge lift or &ldquo;fluting&rdquo;</li>\n\t<li>Edge indentation viewed by fluorescein in cases of excessive tightness</li>\n</ul>\n\n<h2>Etiology</h2>\n\n<ul>\n\t<li>Inappropriate soft lens parameters (diameter and radius) for optimal centration and movement</li>\n\t<li>Can arise due to lens being inserted inside out</li>\n</ul>\n\n<h2>Prevalence</h2>\n\n<ul>\n\t<li>Fairly common</li>\n</ul>\n\n<h2>Differential Diagnosis</h2>\n\n<ul>\n\t<li><a href=\"/condition/38\">Giant papillary conjunctivitis</a>&nbsp;(in cases of excessive movement)</li>\n\t<li><a href=\"/condition/18\">CLARE</a>&nbsp;(in cases of excessive tightness)</li>\n</ul>\n\n<h2>Management</h2>\n\n<ul>\n\t<li>Altering base curve has more effect on lens centration than movement for ultrathin lenses</li>\n\t<li>Excess movement - allow for lens settling, increase diameter, decrease lens thickness, steepen base curve</li>\n\t<li>Insufficient movement - allow for lens settling, decrease diameter, flatten base curve, or refit with different lens design</li>\n\t<li>Decentration - increase diameter, steepen base curve or refit with different lens design</li>\n</ul>",
        "images": [
            {
                "name": "Lens Misfitting - Soft",
                "file": "https://cclm-static.s3.amazonaws.com/images/lens-misfitting-soft.jpg"
            }
        ],
        "type": 1,
        "videos": [
            {
                "name": "Contact Lens Misfitting - Inside-Out Soft Lens",
                "videoSrc": "248362098"
            },
            {
                "name": "Contact Lens Misfitting - Very Loose Inferior Positioned Soft Lens",
                "videoSrc": "248362110"
            }
        ],
        "wear": false,
        "ceaseWear": false,
        "changeLens": true,
        "changeSolutions": false,
        "changeCare": false,
        "counseling": false,
        "dd": false,
        "dw": false,
        "gp": false,
        "replace": false,
        "review": false,
        "rewettingDrops": false,
        "rx": false,
        "SiHy": false,
        "toric": false,
        "tags": []
    },
    {
        "id": 1,
        "url": "https://cclm.media-doc.io/conditions/1/?format=api",
        "name": "Abrasion",
        "category": "Cornea",
        "detail": "<h2>Symptoms</h2>\n\n<ul>\n\t<li>Superficial abrasions may be asymptomatic</li>\n\t<li>Deeper abrasions result in discomfort (foreign body sensation), pain and/or photophobia</li>\n</ul>\n\n<h2>Signs</h2>\n\n<ul>\n\t<li>Break in epithelial layer (superficial cells or full thickness epithelium)</li>\n\t<li>Fluorescein staining</li>\n</ul>\n\n<h2>Etiology</h2>\n\n<ul>\n\t<li>Lens imperfections, foreign body, contact with fingernails, or improper insertion or removal technique</li>\n</ul>\n\n<h2>Prevalence</h2>\n\n<ul>\n\t<li>Rare</li>\n</ul>\n\n<h2>Differential Diagnosis</h2>\n\n<ul>\n\t<li><a href=\"/condition/65\">See: Epithelial Fluorescein Staining &ndash; Differential Diagnosis</a></li>\n\t<li>Herpes simplex ulcer</li>\n\t<li><a href=\"/condition/15\">Erosion</a></li>\n</ul>\n\n<h2>Management</h2>\n\n<ul>\n\t<li>Identify and remove cause</li>\n\t<li>Cease lens wear for at least 24 hours up to 1 week for a full epithelial thickness abrasion</li>\n\t<li>Consider topical prophylactic antibiotic</li>\n\t<li>Consider topical lubricant. Consider pain management, as appropriate</li>\n\t<li>Review in 1 day to 1 week depending on risk of infection</li>\n</ul>",
        "images": [
            {
                "name": "Corneal Abrasion",
                "file": "https://cclm-static.s3.amazonaws.com/images/abrasion-01_zoom.jpg"
            },
            {
                "name": "Corneal Abrasion",
                "file": "https://cclm-static.s3.amazonaws.com/images/abrasion-02_zoom.jpg"
            }
        ],
        "type": 1,
        "videos": [
            {
                "name": "Severe Central Corneal Abrasion",
                "videoSrc": "248362225"
            }
        ],
        "wear": false,
        "ceaseWear": true,
        "changeLens": false,
        "changeSolutions": false,
        "changeCare": false,
        "counseling": false,
        "dd": false,
        "dw": false,
        "gp": false,
        "replace": false,
        "review": true,
        "rewettingDrops": false,
        "rx": true,
        "SiHy": false,
        "toric": false,
        "tags": []
    },
    {
        "id": 46,
        "url": "https://cclm.media-doc.io/conditions/46/?format=api",
        "name": "Meibomian Gland Dysfunction (MGD)",
        "category": "Lid",
        "detail": "<p>Limbal engorgement, limbal redness</p>\n\n<h2>Symptoms</h2>\n\n<ul>\n\t<li>Smeary vision</li>\n\t<li>Dryness</li>\n\t<li>Lens intolerance</li>\n</ul>\n\n<h2>Signs</h2>\n\n<ul>\n\t<li>Yellow, buttery expression from meibomian glands in severe cases</li>\n\t<li>Tear meniscus frothing</li>\n\t<li>Decreased or no secretion from meibomian glands</li>\n\t<li>Poorly wetting lens(es)</li>\n</ul>\n\n<h2>Etiology</h2>\n\n<ul>\n\t<li>Blocked meibomian glands due to abnormal meibomian oils</li>\n\t<li>Ductal epidermis turnover increased</li>\n</ul>\n\n<h2>Prevalence</h2>\n\n<ul>\n\t<li>Common</li>\n</ul>\n\n<h2>Differential Diagnosis</h2>\n\n<ul>\n\t<li><a href=\"/condition/69\">Dry eye</a></li>\n</ul>\n\n<h2>Management</h2>\n\n<ul>\n\t<li>Lid therapy. For example, hygiene, heat and gentle massage twice daily</li>\n\t<li>Mechanical expression</li>\n\t<li>Omega-3 supplements may help</li>\n\t<li>Surfactant lens cleaning</li>\n\t<li>May consider switching to daily disposables to prevent lens contamination with meibomian oils</li>\n</ul>",
        "images": [
            {
                "name": "Meibomian Gland Dysfunction (MGD)",
                "file": "https://cclm-static.s3.amazonaws.com/images/mgd-01.jpg"
            },
            {
                "name": "Meibomian Gland Dysfunction (MGD)",
                "file": "https://cclm-static.s3.amazonaws.com/images/mgd-02.jpg"
            }
        ],
        "type": 1,
        "videos": [],
        "wear": false,
        "ceaseWear": false,
        "changeLens": false,
        "changeSolutions": false,
        "changeCare": true,
        "counseling": true,
        "dd": true,
        "dw": false,
        "gp": false,
        "replace": false,
        "review": false,
        "rewettingDrops": false,
        "rx": true,
        "SiHy": false,
        "toric": false,
        "tags": [
            {
                "id": 7,
                "url": "https://cclm.media-doc.io/tags/7/?format=api",
                "name": "conditions"
            }
        ]
    },
    {
        "id": 67,
        "url": "https://cclm.media-doc.io/conditions/67/?format=api",
        "name": "Visual Disturbance",
        "category": "Symptoms",
        "detail": "<h2>Visual Disturbance</h2>\n\n<table border=\"1\" cellpadding=\"1\" cellspacing=\"1\" class=\"bordered scroll-x\">\n\t<tbody>\n\t\t<tr>\n\t\t\t<th scope=\"row\"><strong>Characteristic</strong></th>\n\t\t\t<td>Type</td>\n\t\t\t<td>Consistency</td>\n\t\t\t<td>Mode of Onset</td>\n\t\t\t<td>Severity</td>\n\t\t</tr>\n\t\t<tr>\n\t\t\t<th scope=\"row\"><strong>Alternatives</strong></th>\n\t\t\t<td>Reduced VA<br />\n\t\t\tFlare<br />\n\t\t\tGlare<br />\n\t\t\tNon-specific</td>\n\t\t\t<td>Constant<br />\n\t\t\tIntermittent<br />\n\t\t\tNight<br />\n\t\t\tNear<br />\n\t\t\tDistance<br />\n\t\t\tWithout lens</td>\n\t\t\t<td>Sudden<br />\n\t\t\tGradual<br />\n\t\t\tFluctuating</td>\n\t\t\t<td>Mild<br />\n\t\t\tModerate<br />\n\t\t\tSevere</td>\n\t\t</tr>\n\t</tbody>\n</table>\n\n<h3>Symptoms</h3>\n\n<ul>\n\t<li>Reduced or fluctuating vision; glare</li>\n</ul>\n\n<h3>Signs</h3>\n\n<ul>\n\t<li>Acuity reduced from previous best acuity or acuity fluctuating with blink</li>\n\t<li>Keratometry mires on lens front surface may show breakup and distortion &lt; 5 seconds after blinking</li>\n\t<li>Low contrast VA affected more than high contrast VA when increased intra-ocular light scattering is present</li>\n\t<li>Effect of refractive error exacerbated by large pupils</li>\n</ul>\n\n<h3>Etiology</h3>\n\n<ul>\n\t<li>Discomfort may be attributed to the lens(es), maintenance solutions or ocular factors</li>\n</ul>\n\n<h3>Prevalence</h3>\n\n<ul>\n\t<li>Common</li>\n</ul>\n\n<h3>Differential Diagnosis</h3>\n\n<ul>\n\t<li>Symptoms will frequently allow identification of cause; ensure ocular pathology is ruled out as cause of reduced vision</li>\n</ul>\n\n<h3>Management</h3>\n\n<ul>\n\t<li>Depends upon source of visual loss</li>\n\t<li>May require mydriatic examination, central Amsler grid assessment and/or full visual field testing to rule out more serious pathology</li>\n\t<li>Management options include addressing any ocular surface or lid issues, changing the CL prescription, changing to a toric lens if uncorrected astigmatism, changing to a rigid lens in the case of corneal distortion (e.g. keratoconus) or trauma, changing CL material or using rewetting drops (all depending on the underlying cause of the reduced vision)</li>\n</ul>\n\n<p><img class=\"cms-icon\" src=\"/assets/images/icon-toric.svg\" /> <img class=\"cms-icon\" src=\"/assets/images/icon-gp.svg\" /> <img class=\"cms-icon\" src=\"/assets/images/icon-counseling.svg\" /> <img class=\"cms-icon\" src=\"/assets/images/icon-review.svg\" /></p>",
        "images": [
            {
                "name": "Visual disturbance",
                "file": "https://cclm-static.s3.amazonaws.com/images/AdobeStock_107227196_visual_disturbance_comp.jpg"
            }
        ],
        "type": 2,
        "videos": [],
        "wear": false,
        "ceaseWear": false,
        "changeLens": false,
        "changeSolutions": false,
        "changeCare": false,
        "counseling": false,
        "dd": false,
        "dw": false,
        "gp": false,
        "replace": false,
        "review": false,
        "rewettingDrops": false,
        "rx": false,
        "SiHy": false,
        "toric": false,
        "tags": [
            {
                "id": 7,
                "url": "https://cclm.media-doc.io/tags/7/?format=api",
                "name": "conditions"
            }
        ]
    },
    {
        "id": 68,
        "url": "https://cclm.media-doc.io/conditions/68/?format=api",
        "name": "Discomfort",
        "category": "Symptoms",
        "detail": "<h2>Discomfort</h2>\n\n<table border=\"1\" cellpadding=\"1\" cellspacing=\"1\" class=\"bordered scroll-x\">\n\t<tbody>\n\t\t<tr>\n\t\t\t<th scope=\"row\">Characteristic</th>\n\t\t\t<td>Type</td>\n\t\t\t<td>Consistency</td>\n\t\t\t<td>Laterality</td>\n\t\t</tr>\n\t\t<tr>\n\t\t\t<th scope=\"row\">Alternatives</th>\n\t\t\t<td>Burning<br />\n\t\t\tGritty<br />\n\t\t\tHot<br />\n\t\t\tIrritated<br />\n\t\t\tItchy<br />\n\t\t\tScratchy<br />\n\t\t\tSore<br />\n\t\t\tTired<br />\n\t\t\tUncomfortable<br />\n\t\t\tWatery</td>\n\t\t\t<td>Constant<br />\n\t\t\tIntermittent<br />\n\t\t\tNight<br />\n\t\t\tNear<br />\n\t\t\tDistance</td>\n\t\t\t<td>Unilateral<br />\n\t\t\tBilateral</td>\n\t\t</tr>\n\t</tbody>\n</table>\n\n<h3>Symptoms</h3>\n\n<ul>\n\t<li>If immediately following insertion then consider damage to the lens or issues with the care system</li>\n\t<li>Scratchy, gritty &ndash; usually associated with foreign body, lens defect or bacterial infection</li>\n\t<li>Itchy&ndash; usually associated with allergic response; evert upper eyelids</li>\n\t<li>Hot, burning &ndash; frequent symptom of viral infection</li>\n\t<li>Dryness &ndash; assess pre-lens wetting</li>\n\t<li>Tired, uncomfortable or sore &ndash; may be dryness, binocular vision disorder or incorrect prescription</li>\n\t<li>End of day (EOD) discomfort is the most frequent type of discomfort reported and is present in about half of all CL wearers. EOD discomfort is often the cause of CL dropout</li>\n</ul>\n\n<h3>Signs</h3>\n\n<ul>\n\t<li>Variable depending on underlying cause; may see improperly fitting CL or poor wettability of the lens, or may see other ocular factors contributing to the discomfort</li>\n</ul>\n\n<h3>Etiology</h3>\n\n<ul>\n\t<li>Discomfort may be attributed to the lens(es), maintenance solutions or ocular factors</li>\n</ul>\n\n<h3>Prevalence</h3>\n\n<ul>\n\t<li>Common</li>\n</ul>\n\n<h3>Differential Diagnosis</h3>\n\n<ul>\n\t<li>Many factors can result in discomfort. Consider factors relating to the lens material, lens design and fit, care system, patient and the wearers working environment</li>\n</ul>\n\n<h3>Management</h3>\n\n<ul>\n\t<li>Management is directly dependent upon the source of discomfort. May need to change lens material, change to DW, reduce wear time, use rewetting drops, etc.</li>\n</ul>\n\n<p><img class=\"cms-icon\" src=\"/assets/images/icon-change-lens.svg\" /> <img class=\"cms-icon\" src=\"/assets/images/icon-SiHy.svg\" /> <img class=\"cms-icon\" src=\"/assets/images/icon-dd.svg\" /> <img class=\"cms-icon\" src=\"/assets/images/icon-gp.svg\" /> <img class=\"cms-icon\" src=\"/assets/images/icon-wear.svg\" /> <img class=\"cms-icon\" src=\"/assets/images/icon-counseling.svg\" /> <img class=\"cms-icon\" src=\"/assets/images/icon-review.svg\" /> <img class=\"cms-icon\" src=\"/assets/images/icon-dw.svg\" /> <img class=\"cms-icon\" src=\"/assets/images/icon-rewetting-drops.svg\" /></p>",
        "images": [
            {
                "name": "Discomfort",
                "file": "https://cclm-static.s3.amazonaws.com/images/AdobeStock_119117752_discomfort_comp.jpg"
            }
        ],
        "type": 2,
        "videos": [],
        "wear": false,
        "ceaseWear": false,
        "changeLens": false,
        "changeSolutions": false,
        "changeCare": false,
        "counseling": false,
        "dd": false,
        "dw": false,
        "gp": false,
        "replace": false,
        "review": false,
        "rewettingDrops": false,
        "rx": false,
        "SiHy": false,
        "toric": false,
        "tags": [
            {
                "id": 7,
                "url": "https://cclm.media-doc.io/tags/7/?format=api",
                "name": "conditions"
            }
        ]
    },
    {
        "id": 69,
        "url": "https://cclm.media-doc.io/conditions/69/?format=api",
        "name": "Dryness",
        "category": "Symptoms",
        "detail": "<h2>Symptoms - Dryness</h2>\n\n<h3>Symptoms</h3>\n\n<ul>\n\t<li>Dry eyes; most marked at end of wearing time</li>\n</ul>\n\n<h3>Signs</h3>\n\n<ul>\n\t<li>None to tear deficiency and corneal and conjunctival desiccation in the interpalpebral aperture</li>\n\t<li>Poor pre-lens tear film; poor lens wettability</li>\n</ul>\n\n<h3>Etiology</h3>\n\n<ul>\n\t<li>Various causes, but tear deficiency is implicated</li>\n\t<li>Pre-lens BUT or other measures of tear stability on the front surface of the lens decrease overtime and tear evaporation rate increases with lens wear</li>\n\t<li>Increased frequency with older lenses</li>\n</ul>\n\n<h3>Prevalence</h3>\n\n<ul>\n\t<li>Common</li>\n</ul>\n\n<h3>Differential Diagnosis</h3>\n\n<ul>\n\t<li>Blepharitis/ lipid layer anomaly</li>\n\t<li>Incomplete blinking or tear film instability</li>\n</ul>\n\n<h3>Management</h3>\n\n<ul>\n\t<li>Rewetting drops to maintain hydration of the front lens surface and/ or blinking exercises</li>\n\t<li>Refit with daily disposables or GP lenses</li>\n\t<li>Change to a preservative free solution</li>\n</ul>\n\n<p><img class=\"cms-icon\" src=\"/assets/images/icon-change-lens.svg\" /> <img class=\"cms-icon\" src=\"/assets/images/icon-SiHy.svg\" /> <img class=\"cms-icon\" src=\"/assets/images/icon-dd.svg\" /> <img class=\"cms-icon\" src=\"/assets/images/icon-gp.svg\" /> <img class=\"cms-icon\" src=\"/assets/images/icon-change.svg\" /> <img class=\"cms-icon\" src=\"/assets/images/icon-wear.svg\" /> <img class=\"cms-icon\" src=\"/assets/images/icon-counseling.svg\" /> <img class=\"cms-icon\" src=\"/assets/images/icon-review.svg\" /> <img class=\"cms-icon\" src=\"/assets/images/icon-dw.svg\" /> <img class=\"cms-icon\" src=\"/assets/images/icon-rewetting-drops.svg\" /></p>",
        "images": [
            {
                "name": "dryness",
                "file": "https://cclm-static.s3.amazonaws.com/images/AdobeStock_122887911_dryness_comp.jpg"
            }
        ],
        "type": 2,
        "videos": [],
        "wear": false,
        "ceaseWear": false,
        "changeLens": false,
        "changeSolutions": false,
        "changeCare": false,
        "counseling": false,
        "dd": false,
        "dw": false,
        "gp": false,
        "replace": false,
        "review": false,
        "rewettingDrops": false,
        "rx": false,
        "SiHy": false,
        "toric": false,
        "tags": []
    },
    {
        "id": 51,
        "url": "https://cclm.media-doc.io/conditions/51/?format=api",
        "name": "Deposits – Fungus",
        "category": "Contact Lens",
        "detail": "<h2>Symptoms</h2>\n\n<ul>\n\t<li>None or mild discomfort during lens wear</li>\n</ul>\n\n<h2>Signs</h2>\n\n<ul>\n\t<li>Discrete areas of fungal growth over and within the lens</li>\n</ul>\n\n<h2>Prevalence</h2>\n\n<ul>\n\t<li>Infrequent</li>\n</ul>\n\n<h2>Differential Diagnosis</h2>\n\n<ul>\n\t<li><a href=\"/condition/50\">Lens calculi</a></li>\n\t<li>Make up</li>\n\t<li>Rust spots</li>\n\t<li>See:&nbsp;<a href=\"/condition/60\">Contact Lens Changes &ndash; Differential Diagnosis</a></li>\n</ul>\n\n<h2>Management</h2>\n\n<ul>\n\t<li>Lens replacement is essential</li>\n\t<li>Lens case replacement</li>\n\t<li>Reinstruct patient on lens care system and confirm compliance</li>\n\t<li>Discourage topping off of contact lens solutions- empty, dry and refill the case each day</li>\n\t<li>Alter care regimen to provide stronger antimicrobial activity</li>\n\t<li>To minimize risk, consider minimal maintenance options such as DD lenses</li>\n</ul>",
        "images": [
            {
                "name": "Deposits – Fungus",
                "file": "https://cclm-static.s3.amazonaws.com/images/fungal-deposits-01.jpg"
            },
            {
                "name": "Deposits – Fungus",
                "file": "https://cclm-static.s3.amazonaws.com/images/fungal-deposits-02_zoom.jpg"
            }
        ],
        "type": 1,
        "videos": [],
        "wear": false,
        "ceaseWear": false,
        "changeLens": true,
        "changeSolutions": false,
        "changeCare": true,
        "counseling": true,
        "dd": true,
        "dw": false,
        "gp": false,
        "replace": false,
        "review": false,
        "rewettingDrops": false,
        "rx": false,
        "SiHy": false,
        "toric": false,
        "tags": []
    },
    {
        "id": 45,
        "url": "https://cclm.media-doc.io/conditions/45/?format=api",
        "name": "Blepharitis",
        "category": "Lid",
        "detail": "<p>Staphylococcal or seborrhoeic anterior blepharitis</p>\n\n<h2>Symptoms</h2>\n\n<ul>\n\t<li>None to itchiness and lens intolerance</li>\n\t<li>Burning, Foreign body sensation</li>\n\t<li>Dryness</li>\n</ul>\n\n<h2>Signs</h2>\n\n<ul>\n\t<li>Hyperemia / inflammation of the lids and/or margins</li>\n\t<li>Matting or flakes around base of lashes</li>\n\t<li>Telangiectasis</li>\n\t<li>Madarosis (loss of lashes)</li>\n\t<li>Cornea may stain or be infiltrated, particularly around 4 and 8 o&rsquo;clock positions</li>\n</ul>\n\n<h2>Etiology</h2>\n\n<ul>\n\t<li>Most commonly caused by chronic staphylococcal infection around the base of the lashes</li>\n\t<li>Corneal reaction to staph exotoxins is a possible complication</li>\n</ul>\n\n<h2>Prevalence</h2>\n\n<ul>\n\t<li>Common</li>\n</ul>\n\n<h2>Differential Diagnosis</h2>\n\n<ul>\n\t<li><a href=\"/condition/69\">Dry eye</a></li>\n</ul>\n\n<h2>Management</h2>\n\n<ul>\n\t<li>Lid therapy. For example, hygiene, heat and gentle massage twice daily</li>\n\t<li>Eliminate/control before commencing lens wear</li>\n\t<li>Antimicrobial topical therapy</li>\n</ul>",
        "images": [
            {
                "name": "Blepharitis",
                "file": "https://cclm-static.s3.amazonaws.com/images/blepharitis-01_zoom.jpg"
            },
            {
                "name": "Blepharitis-2",
                "file": "https://cclm-static.s3.amazonaws.com/images/blepharitis-02_zoom.jpg"
            }
        ],
        "type": 1,
        "videos": [
            {
                "name": "Blepharitis - Seborrhoeic Anterior with Demodex Sleeving",
                "videoSrc": "248361967"
            },
            {
                "name": "Blepharitis - Chronic with Mild Madarosis",
                "videoSrc": "248361987"
            }
        ],
        "wear": false,
        "ceaseWear": false,
        "changeLens": false,
        "changeSolutions": false,
        "changeCare": false,
        "counseling": true,
        "dd": true,
        "dw": false,
        "gp": false,
        "replace": false,
        "review": false,
        "rewettingDrops": false,
        "rx": true,
        "SiHy": false,
        "toric": false,
        "tags": [
            {
                "id": 7,
                "url": "https://cclm.media-doc.io/tags/7/?format=api",
                "name": "conditions"
            }
        ]
    },
    {
        "id": 47,
        "url": "https://cclm.media-doc.io/conditions/47/?format=api",
        "name": "Blinking - Incomplete",
        "category": "Lid",
        "detail": "<p>Lagophthalmos</p>\n\n<h2>Symptoms</h2>\n\n<ul>\n\t<li>None to classic symptoms of dryness and discomfort</li>\n</ul>\n\n<h2>Signs</h2>\n\n<ul>\n\t<li>Incomplete wetting across a region of the lens</li>\n\t<li>Lids fail to close completely on blinking</li>\n\t<li>Lens surface deposition may be present</li>\n\t<li>Corneal epithelial fluorescein staining may be present, typically in the inferior portion of the cornea</li>\n</ul>\n\n<h2>Etiology</h2>\n\n<ul>\n\t<li>Failure to completely close eyes during blink</li>\n\t<li>Presence of contact lens may inhibit the blink reflex</li>\n\t<li>Interpalpebral region of lens becomes dry and may deposit</li>\n</ul>\n\n<h2>Prevalence</h2>\n\n<ul>\n\t<li>Common</li>\n</ul>\n\n<h2>Differential Diagnosis</h2>\n\n<ul>\n\t<li><a href=\"/condition/69\">Dry eye</a></li>\n\t<li><a href=\"/condition/65\">Desiccation staining</a></li>\n\t<li><a href=\"/condition/40\">Hyperemia &ndash; interpalpebral</a></li>\n</ul>\n\n<h2>Management</h2>\n\n<ul>\n\t<li>Blinking training</li>\n\t<li>Rewetting drops</li>\n\t<li>More frequent lens replacement may be necessary</li>\n</ul>",
        "images": [
            {
                "name": "Blinking - Incomplete",
                "file": "https://cclm-static.s3.amazonaws.com/images/lagophthalmos_zoom.jpg"
            }
        ],
        "type": 1,
        "videos": [],
        "wear": false,
        "ceaseWear": false,
        "changeLens": false,
        "changeSolutions": false,
        "changeCare": false,
        "counseling": true,
        "dd": false,
        "dw": false,
        "gp": false,
        "replace": false,
        "review": true,
        "rewettingDrops": true,
        "rx": false,
        "SiHy": true,
        "toric": false,
        "tags": [
            {
                "id": 7,
                "url": "https://cclm.media-doc.io/tags/7/?format=api",
                "name": "conditions"
            }
        ]
    },
    {
        "id": 24,
        "url": "https://cclm.media-doc.io/conditions/24/?format=api",
        "name": "Microbial Keratitis",
        "category": "Cornea",
        "detail": "<p>Corneal ulcer, infectious keratitis, ulcerative keratitis, corneal infection</p>\n\n<h2>Symptoms</h2>\n\n<ul>\n\t<li>Acute severe pain</li>\n\t<li>Extreme redness &ndash; usually all quadrants</li>\n\t<li>Epiphora and photophobia</li>\n\t<li>No improvement with lens removal</li>\n</ul>\n\n<h2>Signs</h2>\n\n<ul>\n\t<li>Localized corneal excavation, penetrating into the stroma, with underlying infiltrate and surrounded by edema</li>\n\t<li>Generally central or paracentral, large (&gt;1mm), irregular appearance</li>\n\t<li>Typically unilateral</li>\n\t<li>Severe hyperemia and possibly lid edema.</li>\n\t<li>Mucopurulent or watery discharge, aqueous flare often present</li>\n\t<li><a href=\"/condition/2\">Also see&nbsp;Acanthamoeba&nbsp;Infection</a></li>\n</ul>\n\n<h2>Etiology</h2>\n\n<ul>\n\t<li>Infection with epithelial disruption</li>\n\t<li>Most virulent pathogens are&nbsp;<em>Pseudomonas aeruginosa</em>&nbsp;and&nbsp;<em>Acanthamoeba</em></li>\n</ul>\n\n<h2>Prevalence</h2>\n\n<ul>\n\t<li>Rare</li>\n\t<li>Higher prevalence in EW of soft lenses</li>\n</ul>\n\n<h2>Differential Diagnosis</h2>\n\n<ul>\n\t<li><a href=\"/condition/20\">Corneal Infiltrates</a> ,<a href=\"/condition/6\">CLPU</a> &nbsp;and other staining patterns</li>\n\t<li><a href=\"/condition/66\">See: Infiltrates and Opacities &ndash; Differential Diagnosis</a></li>\n</ul>\n\n<h2>Management</h2>\n\n<ul>\n\t<li>Cease lens wear immediately</li>\n\t<li>Consider culturing before initiating antibiotic therapy, particularly for large central ulcers</li>\n\t<li>Instigate topical antibiotic treatment immediately. Follow up daily until resolved</li>\n\t<li>Replace all lenses and lens care products including lens case before recommencing lens wear</li>\n\t<li>Further lens wear should be restricted and be undertaken cautiously</li>\n\t<li>Further EW inadvisable and may recommend DW</li>\n</ul>",
        "images": [
            {
                "name": "Microbial Keratitis",
                "file": "https://cclm-static.s3.amazonaws.com/images/microbial-keratitis-01_zoom.jpg"
            },
            {
                "name": "Microbial Keratitis",
                "file": "https://cclm-static.s3.amazonaws.com/images/microbial-keratitis-02_zoom.jpg"
            }
        ],
        "type": 1,
        "videos": [
            {
                "name": "Microbial Keratitis Microbial Keratitis - Central with Hypopyon",
                "videoSrc": "248362131"
            }
        ],
        "wear": false,
        "ceaseWear": true,
        "changeLens": false,
        "changeSolutions": false,
        "changeCare": false,
        "counseling": false,
        "dd": false,
        "dw": false,
        "gp": false,
        "replace": false,
        "review": true,
        "rewettingDrops": false,
        "rx": true,
        "SiHy": false,
        "toric": false,
        "tags": []
    },
    {
        "id": 26,
        "url": "https://cclm.media-doc.io/conditions/26/?format=api",
        "name": "Mucin Balls",
        "category": "Cornea",
        "detail": "<h2>Symptoms</h2>\n\n<ul>\n\t<li>Generally none</li>\n\t<li>Vision may be affected in extreme cases</li>\n</ul>\n\n<h2>Signs</h2>\n\n<ul>\n\t<li>Spheroidal, refractile particles under a contact lens, most common in the superior region and under the upper eye lid</li>\n\t<li>Display non-reversed illumination in marginal retro illumination</li>\n\t<li>Most disappear on lens removal, but some remain briefly</li>\n\t<li><a href=\"/condition/10\">Fluorescein pooling may occur at sites of mucin balls (see Dimple Veiling)</a></li>\n</ul>\n\n<h2>Etiology</h2>\n\n<ul>\n\t<li>Focal accumulation of components of the tear film (e.g. mucus, lipids) under the lens that cause an indentation in the epithelium</li>\n\t<li>Seen most often with higher modulus materials. Most common in EW of SiHy lenses, but not exclusive to these lenses</li>\n\t<li>May occur as a result of aqueous-depleted post-lens tear film following overnight wear</li>\n</ul>\n\n<h2>Prevalence</h2>\n\n<ul>\n\t<li>Rare, although more common in SiHy EW</li>\n</ul>\n\n<h2>Differential Diagnosis</h2>\n\n<ul>\n\t<li><a href=\"/condition/25\">Microcysts</a>&nbsp;&ndash; mucin balls may be similar in size or larger.&nbsp;<br />\n\tThe majority of mucin balls disappear on lens removal, whereas microcysts remain for weeks</li>\n\t<li><a href=\"/condition/10\">Dimple-veil</a> &nbsp;&ndash; will pool fluorescein, as will mucin-ball indentations</li>\n</ul>\n\n<h2>Management</h2>\n\n<ul>\n\t<li>Monitor</li>\n\t<li>Topical lubricants</li>\n</ul>",
        "images": [
            {
                "name": "Mucin Balls",
                "file": "https://cclm-static.s3.amazonaws.com/images/mucin-balls-01_zoom.jpg"
            },
            {
                "name": "Mucin Balls",
                "file": "https://cclm-static.s3.amazonaws.com/images/mucin-balls-02_zoom.jpg"
            }
        ],
        "type": 1,
        "videos": [
            {
                "name": "Mucin Balls - White Light",
                "videoSrc": "248362165"
            },
            {
                "name": "Mucin Balls - Sodium Fluorescein Imprints",
                "videoSrc": "248362152"
            }
        ],
        "wear": false,
        "ceaseWear": false,
        "changeLens": true,
        "changeSolutions": false,
        "changeCare": false,
        "counseling": false,
        "dd": false,
        "dw": false,
        "gp": false,
        "replace": false,
        "review": true,
        "rewettingDrops": true,
        "rx": true,
        "SiHy": false,
        "toric": false,
        "tags": []
    },
    {
        "id": 59,
        "url": "https://cclm.media-doc.io/conditions/59/?format=api",
        "name": "Tear Instability - Non Wetting Lens",
        "category": "Contact Lens",
        "detail": "<p>Tear break-up time, deposits</p>\n\n<h2>Symptoms</h2>\n\n<ul>\n\t<li>Patient may report no symptoms</li>\n\t<li>Lenses may feel dry or uncomfortable</li>\n</ul>\n\n<h2>Signs</h2>\n\n<ul>\n\t<li>Drying of lens surface and failure of lens to rewet during blink</li>\n\t<li>Prelens tear film breakup &lt; interblink period (e.g. 6 seconds)</li>\n\t<li>Lens surface is not smooth on slit lamp evaluation</li>\n\t<li>Lens deposition may be present</li>\n\t<li>May occur more frequently in those with a poor quality and/or quantity of tears</li>\n</ul>\n\n<h2>Etiology</h2>\n\n<ul>\n\t<li>Deposition or contamination of lens surface</li>\n\t<li>Poor lens production quality, resulting in poor quality surface</li>\n\t<li>Poor tear film quality or quantity which may be exacerbated by lid margin disease</li>\n</ul>\n\n<h2>Prevalence</h2>\n\n<ul>\n\t<li>Common</li>\n</ul>\n\n<h2>Differential Diagnosis</h2>\n\n<ul>\n\t<li><a href=\"/condition/69\">Dry eye</a></li>\n\t<li><a href=\"/condition/47\">Incomplete blinking</a></li>\n\t<li>Deposits-&nbsp;<a href=\"/condition/54\">protein</a>,&nbsp;<a href=\"/condition/53\">lipid</a></li>\n\t<li><a href=\"/condition/45\">Blepharitis</a>/lipid layer anomaly</li>\n</ul>\n\n<h2>Management</h2>\n\n<ul>\n\t<li>Replace lens if old and/or deposited</li>\n\t<li>If lens is new, consider refitting into a new daily disposable, SiHy material, or improved tear film with lid hygiene, tear supplements, and/or lid massage</li>\n\t<li>Reduce wearing time or cease EW</li>\n\t<li>GP lenses may need to be remade</li>\n</ul>",
        "images": [
            {
                "name": "Tear Instability - Non Wetting Lens",
                "file": "https://cclm-static.s3.amazonaws.com/images/tbut-deposits-01.jpg"
            },
            {
                "name": "Tear Instability - Non Wetting Lens",
                "file": "https://cclm-static.s3.amazonaws.com/images/tbut-deposits-02.jpg"
            }
        ],
        "type": 1,
        "videos": [],
        "wear": true,
        "ceaseWear": false,
        "changeLens": true,
        "changeSolutions": false,
        "changeCare": false,
        "counseling": false,
        "dd": true,
        "dw": false,
        "gp": true,
        "replace": false,
        "review": false,
        "rewettingDrops": false,
        "rx": false,
        "SiHy": true,
        "toric": false,
        "tags": [
            {
                "id": 7,
                "url": "https://cclm.media-doc.io/tags/7/?format=api",
                "name": "conditions"
            }
        ]
    },
    {
        "id": 75,
        "url": "https://cclm.media-doc.io/conditions/75/?format=api",
        "name": "F. Specular Reflection",
        "category": "Biomicroscope",
        "detail": "<h2>Overview</h2>\n\n<ul>\n\t<li>Specular reflection is used to view the tear film and corneal endothelium</li>\n\t<li>It is a monocular technique: when set up correctly, the image is only visible in one eye piece</li>\n</ul>\n\n<p>&nbsp;</p>\n\n<h2>Set Up</h2>\n\n<ul>\n\t<li>The illumination and observation system are offset at equal angles</li>\n\t<li>A moderately wide beam is used and the microscope is focussed on the structure of interest</li>\n\t<li>The height of the beam can be reduced</li>\n\t<li>Medium magnification is used initially</li>\n\t<li>The illumination system is moved in order to place the bright Purkinje image (reflection of light source) to coincide with the optic section&nbsp;</li>\n\t<li>High magnification can be used once the structure of interest has been visualized</li>\n</ul>\n\n<p>&nbsp;</p>\n\n<h2>Useful when assessing</h2>\n\n<ul>\n\t<li><a href=\"/condition/62\">Corneal endothelium</a>&nbsp;- differential diagnosis</li>\n\t<li><a href=\"/condition/4\">Blebs</a>&nbsp;</li>\n\t<li><a href=\"/condition/28\">Polymegathism</a></li>\n</ul>\n\n<p>&nbsp;</p>\n\n<p>&nbsp;</p>",
        "images": [
            {
                "name": "Specular Reflection",
                "file": "https://cclm-static.s3.amazonaws.com/images/CORE_Specular_reflection.png"
            }
        ],
        "type": 1,
        "videos": [
            {
                "name": "Specular Reflection",
                "videoSrc": "267434934"
            }
        ],
        "wear": false,
        "ceaseWear": false,
        "changeLens": false,
        "changeSolutions": false,
        "changeCare": false,
        "counseling": false,
        "dd": false,
        "dw": false,
        "gp": false,
        "replace": false,
        "review": false,
        "rewettingDrops": false,
        "rx": false,
        "SiHy": false,
        "toric": false,
        "tags": [
            {
                "id": 7,
                "url": "https://cclm.media-doc.io/tags/7/?format=api",
                "name": "conditions"
            }
        ]
    },
    {
        "id": 72,
        "url": "https://cclm.media-doc.io/conditions/72/?format=api",
        "name": "D. Parallelepiped",
        "category": "Biomicroscope",
        "detail": "<h2>Overview</h2>\n\n<ul>\n\t<li>This technique allows a block of the cornea to be viewed</li>\n\t<li>A wider area of the cornea can be seen than with optic section</li>\n\t<li>The corneal epithelium, stroma&nbsp;and endothelium are visible</li>\n</ul>\n\n<p>&nbsp;</p>\n\n<h2>Set Up</h2>\n\n<ul>\n\t<li>The light beam is adjusted to a moderate width</li>\n\t<li>Medium to high magnification can be used</li>\n\t<li>The illumination system is typically angled away&nbsp;from the microscope</li>\n</ul>\n\n<p>&nbsp;</p>\n\n<h2>Useful when assessing</h2>\n\n<ul>\n\t<li><a href=\"/condition/25\">Corneal Microcysts and Vacuoles</a></li>\n\t<li><a href=\"/condition/14\">Corneal Edema - Stromal</a></li>\n</ul>\n\n<p>&nbsp;</p>\n\n<p>&nbsp;</p>",
        "images": [
            {
                "name": "Parallelepiped",
                "file": "https://cclm-static.s3.amazonaws.com/images/CORE_Parallelepiped.png"
            }
        ],
        "type": 1,
        "videos": [
            {
                "name": "Parallelepiped",
                "videoSrc": "267426417"
            }
        ],
        "wear": false,
        "ceaseWear": false,
        "changeLens": false,
        "changeSolutions": false,
        "changeCare": false,
        "counseling": false,
        "dd": false,
        "dw": false,
        "gp": false,
        "replace": false,
        "review": false,
        "rewettingDrops": false,
        "rx": false,
        "SiHy": false,
        "toric": false,
        "tags": [
            {
                "id": 7,
                "url": "https://cclm.media-doc.io/tags/7/?format=api",
                "name": "conditions"
            }
        ]
    },
    {
        "id": 78,
        "url": "https://cclm.media-doc.io/conditions/78/?format=api",
        "name": "A. Initial set up",
        "category": "Biomicroscope",
        "detail": "<h2>&nbsp;</h2>\n\n<h2>Overview</h2>\n\n<ul>\n\t<li style=\"margin: 0cm 0cm 8pt;\">A slit lamp biomicroscope consists of an illumination and observation system</li>\n\t<li style=\"margin: 0cm 0cm 8pt;\">The observation system provides a binocular, magnified view of the anterior eye</li>\n\t<li style=\"margin: 0cm 0cm 8pt;\">The illumination system allows the amount and intensity of light to be controlled</li>\n\t<li style=\"margin: 0cm 0cm 8pt;\">The illumination system also contains different filters to enhance the view of the eye</li>\n</ul>\n\n<h2>&nbsp;</h2>\n\n<h2>Set Up</h2>\n\n<ul>\n\t<li>Areas touched by the practitioner and patient should be cleaned with alcohol wipes</li>\n\t<li>The eye-<span style=\"font-size:11.0pt\"><span style=\"line-height:107%\"><span style=\"font-family:&quot;Calibri&quot;,sans-serif\">pieces on the microscope are adjusted for the practitioner&rsquo;s pupillary distance and refractive error</span></span></span></li>\n\t<li>The focus of the instrument should be checked</li>\n\t<li>The patient should be seated comfortably, with their forehead touching the bar at the top of the headrest</li>\n\t<li>The patient&#39;s outer canthus should be aligned with the mark on the headrest</li>\n</ul>\n\n<p>&nbsp;</p>",
        "images": [
            {
                "name": "Initial biomicroscope set up",
                "file": "https://cclm-static.s3.amazonaws.com/images/AdobeStock_140340779_comp.jpg"
            }
        ],
        "type": 1,
        "videos": [
            {
                "name": "Initial Setup",
                "videoSrc": "267426846"
            }
        ],
        "wear": false,
        "ceaseWear": false,
        "changeLens": false,
        "changeSolutions": false,
        "changeCare": false,
        "counseling": false,
        "dd": false,
        "dw": false,
        "gp": false,
        "replace": false,
        "review": false,
        "rewettingDrops": false,
        "rx": false,
        "SiHy": false,
        "toric": false,
        "tags": [
            {
                "id": 7,
                "url": "https://cclm.media-doc.io/tags/7/?format=api",
                "name": "conditions"
            }
        ]
    },
    {
        "id": 71,
        "url": "https://cclm.media-doc.io/conditions/71/?format=api",
        "name": "C. Optic Section",
        "category": "Biomicroscope",
        "detail": "<h2>Overview</h2>\n\n<ul>\n\t<li>Optic section allows the cornea to be viewed in cross-section</li>\n\t<li>The location and depth of infiltrates and opacities can&nbsp;be determined</li>\n</ul>\n\n<p>&nbsp;</p>\n\n<h2>Set Up</h2>\n\n<ul>\n\t<li>The light beam is adjusted to a narrow width</li>\n\t<li>Magnification is increased from the diffuse view</li>\n\t<li>Medium to high magnification can be used</li>\n\t<li>The illumination system is typically angled away&nbsp;from the microscope</li>\n\t<li>Light levels should be increased to compensate for the narrow slit</li>\n</ul>\n\n<p>&nbsp;</p>\n\n<h2>Useful when assessing</h2>\n\n<ul>\n\t<li><a href=\"/condition/1\">Corneal Abrasion</a></li>\n\t<li><a href=\"/condition/6\">Contact Lens Peripheral Ulcer</a></li>\n\t<li><a href=\"/condition/25\">Corneal Microcysts and Vacuoles</a></li>\n\t<li><a href=\"/condition/20\">Corneal Infiltrates</a></li>\n\t<li><a href=\"/condition/27\">Corneal opacities</a></li>\n</ul>\n\n<p>&nbsp;</p>\n\n<p>&nbsp;</p>",
        "images": [
            {
                "name": "Optic Section",
                "file": "https://cclm-static.s3.amazonaws.com/images/CORE_Optic_Section.png"
            }
        ],
        "type": 1,
        "videos": [
            {
                "name": "Optic Section",
                "videoSrc": "267426647"
            }
        ],
        "wear": false,
        "ceaseWear": false,
        "changeLens": false,
        "changeSolutions": false,
        "changeCare": false,
        "counseling": false,
        "dd": false,
        "dw": false,
        "gp": false,
        "replace": false,
        "review": false,
        "rewettingDrops": false,
        "rx": false,
        "SiHy": false,
        "toric": false,
        "tags": [
            {
                "id": 7,
                "url": "https://cclm.media-doc.io/tags/7/?format=api",
                "name": "conditions"
            }
        ]
    },
    {
        "id": 73,
        "url": "https://cclm.media-doc.io/conditions/73/?format=api",
        "name": "G. Indirect Retro Illumination",
        "category": "Biomicroscope",
        "detail": "<h2>&nbsp;</h2>\n\n<h2>Overview</h2>\n\n<ul>\n\t<li>Retro-illumination uses reflected light from the iris or the fundus to view structures of the anterior eye</li>\n\t<li>The technique is useful to help visualize ocular structures and pathologies that show up best in shadow</li>\n\t<li>The illumination and observation system are uncoupled for this viewing technique</li>\n\t<li>Alternatively, the biomicroscope systems can remain coupled with the practitioner observing the area of interest to the side of the optic section</li>\n</ul>\n\n<p>&nbsp;</p>\n\n<h2>Set Up</h2>\n\n<ul>\n\t<li>If doing so, the illumination system is uncoupled and twisted slightly to one side so it is no longer coincident with the observation system</li>\n\t<li>The light beam is adjusted to a moderate width</li>\n\t<li>Medium to high magnification can be used</li>\n\t<li>The illumination system is typically angled away&nbsp;from the microscope</li>\n\t<li>The microscope is focussed on the area of interest to the side of the light source&nbsp;</li>\n</ul>\n\n<p>&nbsp;</p>\n\n<h2>Useful when assessing</h2>\n\n<ul>\n\t<li><a href=\"/condition/11\">Corneal Epithelial Edema</a></li>\n\t<li><a href=\"/condition/27\">Corneal Opacities</a></li>\n\t<li>Corneal foreign bodies</li>\n\t<li><a href=\"/condition/39\">Corneal Vascularization</a></li>\n\t<li>Intraocular Lens Opacities</li>\n\t<li>Iris Transillumination</li>\n</ul>\n\n<p>&nbsp;</p>",
        "images": [
            {
                "name": "Indirect Retro Illumination",
                "file": "https://cclm-static.s3.amazonaws.com/images/CORE_Indirect_retro_illumination.png"
            }
        ],
        "type": 1,
        "videos": [
            {
                "name": "Indirect Retro-Illumination",
                "videoSrc": "267426976"
            }
        ],
        "wear": false,
        "ceaseWear": false,
        "changeLens": false,
        "changeSolutions": false,
        "changeCare": false,
        "counseling": false,
        "dd": false,
        "dw": false,
        "gp": false,
        "replace": false,
        "review": false,
        "rewettingDrops": false,
        "rx": false,
        "SiHy": false,
        "toric": false,
        "tags": [
            {
                "id": 7,
                "url": "https://cclm.media-doc.io/tags/7/?format=api",
                "name": "conditions"
            }
        ]
    },
    {
        "id": 70,
        "url": "https://cclm.media-doc.io/conditions/70/?format=api",
        "name": "B. Diffuse",
        "category": "Biomicroscope",
        "detail": "<h2>&nbsp;</h2>\n\n<h2>Overview</h2>\n\n<ul>\n\t<li>Diffuse illumination is used to provide a general view of the anterior eye</li>\n\t<li>It is typically used to examine the eyelids, conjunctiva, cornea, and iris</li>\n</ul>\n\n<p>&nbsp;</p>\n\n<h2>Set Up</h2>\n\n<ul>\n\t<li>A diffuser is placed in front of the light source</li>\n\t<li>Magnification is set to low</li>\n\t<li>The illumination system is typically angled 45<span style=\"font-size:11pt\"><span style=\"line-height:107%\"><span style=\"font-family:Calibri,sans-serif\">&deg;&nbsp;</span></span></span>from the microscope</li>\n\t<li>Slit width and light intensity are altered to achieve desired level of illumination</li>\n</ul>\n\n<p>&nbsp;</p>\n\n<h2>Useful when assessing</h2>\n\n<ul>\n\t<li><a href=\"/condition/5\">Limbal Hyperemia</a></li>\n\t<li><a href=\"/condition/18\">C.L.A.R.E</a></li>\n\t<li><a href=\"/condition/38\">Contact Lens Papillary Conjunctivitis</a></li>\n\t<li><a href=\"/condition/40\">Hyperemia - Interpalpebral</a></li>\n\t<li><a href=\"/condition/41\">Hyperemia - Palpebral Conjunctiva</a></li>\n\t<li><a href=\"/condition/42\">Hyperemia - Sectoral</a></li>\n\t<li><a href=\"/condition/45\">Blepharitis</a></li>\n\t<li><a href=\"/condition/47\">Blinking - Incomplete</a></li>\n\t<li><a href=\"/condition/46\">Meibomian Gland Dysfunction</a></li>\n</ul>\n\n<p>&nbsp;</p>\n\n<p>&nbsp;</p>",
        "images": [
            {
                "name": "Diffuse",
                "file": "https://cclm-static.s3.amazonaws.com/images/CORE_Diffuse.png"
            }
        ],
        "type": 1,
        "videos": [
            {
                "name": "Diffuse Illumination",
                "videoSrc": "267427013"
            }
        ],
        "wear": false,
        "ceaseWear": false,
        "changeLens": false,
        "changeSolutions": false,
        "changeCare": false,
        "counseling": false,
        "dd": false,
        "dw": false,
        "gp": false,
        "replace": false,
        "review": false,
        "rewettingDrops": false,
        "rx": false,
        "SiHy": false,
        "toric": false,
        "tags": [
            {
                "id": 7,
                "url": "https://cclm.media-doc.io/tags/7/?format=api",
                "name": "conditions"
            }
        ]
    },
    {
        "id": 79,
        "url": "https://cclm.media-doc.io/conditions/79/?format=api",
        "name": "J. Viewing Lissamine Green",
        "category": "Biomicroscope",
        "detail": "<h2>&nbsp;</h2>\n\n<h2>Overview</h2>\n\n<ul>\n\t<li>Lissamine green is a vital dye which stains both dead and degenerated cells, along with mucus</li>\n\t<li>It has a similar mode of action to rose bengal, with less stinging on instillation</li>\n\t<li>It is useful to instill a good amount of this dye, and wait for a minute prior to examining the eye</li>\n</ul>\n\n<p>&nbsp;</p>\n\n<h2>Set Up</h2>\n\n<ul>\n\t<li>One or two&nbsp;drops of lissamine green are&nbsp;instilled into the lower fornix of each eye</li>\n\t<li>Diffuse white light is selected on the illumination system</li>\n\t<li>Magnification starts low for a general overview, being increased to observe areas of interest</li>\n\t<li>Lissamine green shows as areas of green staining on the conjunctiva, lid margins and lid wiper</li>\n\t<li>For the clearest view, a red filter can&nbsp;be placed in front of the observation system</li>\n\t<li>The illumination level will need to increased to compensate for the introduction of the red filter if used</li>\n</ul>\n\n<p>&nbsp;</p>\n\n<h2>Useful when assessing</h2>\n\n<ul>\n\t<li>Dry eye</li>\n\t<li>Contact lens <a href=\"/condition/69\">dryness</a> and <a href=\"/condition/68\">discomfort</a></li>\n\t<li><a href=\"/condition/44\">Lid wiper epitheliopathy</a></li>\n</ul>\n\n<p>&nbsp;</p>\n\n<p>&nbsp;</p>",
        "images": [
            {
                "name": "Viewing Lissamine Green",
                "file": "https://cclm-static.s3.amazonaws.com/images/CORE_Viewing_lissamine_green.png"
            }
        ],
        "type": 1,
        "videos": [
            {
                "name": "Viewing Lissamine Green",
                "videoSrc": "267426942"
            }
        ],
        "wear": false,
        "ceaseWear": false,
        "changeLens": false,
        "changeSolutions": false,
        "changeCare": false,
        "counseling": false,
        "dd": false,
        "dw": false,
        "gp": false,
        "replace": false,
        "review": false,
        "rewettingDrops": false,
        "rx": false,
        "SiHy": false,
        "toric": false,
        "tags": [
            {
                "id": 7,
                "url": "https://cclm.media-doc.io/tags/7/?format=api",
                "name": "conditions"
            }
        ]
    },
    {
        "id": 76,
        "url": "https://cclm.media-doc.io/conditions/76/?format=api",
        "name": "I. Viewing Fluorescein",
        "category": "Biomicroscope",
        "detail": "<h2>&nbsp;</h2>\n\n<h2>Overview</h2>\n\n<ul>\n\t<li>Sodium Fluorescein is used in the anterior eye examination to assess the integrity of the ocular tissues</li>\n\t<li>This diagnostic dye is also used to assess the fit of rigid gas permeable and scleral contact lenses</li>\n</ul>\n\n<p>&nbsp;</p>\n\n<h2>Set Up</h2>\n\n<ul>\n\t<li>A drop of fluorescein is instilled into the lower fornix of each eye</li>\n\t<li>The blue filter is selected on the illumination system</li>\n\t<li>The light beam is adjusted to a moderate width</li>\n\t<li>Magnification starts low for a general overview, being increased to observe areas of interest</li>\n\t<li>For the clearest view, a yellow filter (Wratten #12) should be placed in front of the observation system</li>\n\t<li>The illumination level will need to increased to compensate for the introduction of the yellow filter</li>\n</ul>\n\n<p>&nbsp;</p>\n\n<h2>Useful when assessing</h2>\n\n<ul>\n\t<li><a href=\"/condition/1\">Corneal Abrasion</a></li>\n\t<li><a href=\"/condition/6\">Contact Lens Peripheral Ulcer</a></li>\n\t<li><a href=\"/condition/15\">Corneal Erosion</a></li>\n\t<li><a href=\"/condition/9\">Desiccation Staining</a></li>\n\t<li><a href=\"/condition/10\">Dimple Veiling</a></li>\n\t<li><a href=\"/condition/17\">Foreign Body Tracks</a></li>\n\t<li><a href=\"/condition/20\">Infiltrates</a></li>\n\t<li>Lens Solution <a href=\"/condition/30\">Sensitivity</a> and <a href=\"/condition/31\">Toxicity</a></li>\n\t<li><a href=\"/condition/24\">Microbial Keratitis</a></li>\n\t<li><a href=\"/condition/26\">Mucin Balls</a></li>\n\t<li><a href=\"/condition/33\">Solution Induced Corneal Stainng - SICs</a></li>\n\t<li>Staining - <a href=\"/condition/37\">Superficial Punctate</a></li>\n\t<li>Staining - <a href=\"/condition/36\">Superior Epithelial Arcuate Lesion</a></li>\n\t<li>Conjunctival <a href=\"/condition/29\">Indentation</a> and <a href=\"/condition/32\">Staining</a></li>\n\t<li><a href=\"/condition/38\">Contact Lens Papillary Conjunctivitis</a></li>\n\t<li><a href=\"/condition/44\">Lid Wiper Epitheliopathy</a></li>\n</ul>\n\n<p>&nbsp;</p>",
        "images": [
            {
                "name": "Viewing Fluorescein",
                "file": "https://cclm-static.s3.amazonaws.com/images/CORE_Viewing_fluorescein_II.png"
            }
        ],
        "type": 1,
        "videos": [
            {
                "name": "Viewing Fluorescein",
                "videoSrc": "267434837"
            }
        ],
        "wear": false,
        "ceaseWear": false,
        "changeLens": false,
        "changeSolutions": false,
        "changeCare": false,
        "counseling": false,
        "dd": false,
        "dw": false,
        "gp": false,
        "replace": false,
        "review": false,
        "rewettingDrops": false,
        "rx": false,
        "SiHy": false,
        "toric": false,
        "tags": [
            {
                "id": 7,
                "url": "https://cclm.media-doc.io/tags/7/?format=api",
                "name": "conditions"
            }
        ]
    },
    {
        "id": 37,
        "url": "https://cclm.media-doc.io/conditions/37/?format=api",
        "name": "Staining – Superficial Punctate",
        "category": "Cornea",
        "detail": "<p>Generalized, non-specific staining</p>\n\n<h2>Symptoms</h2>\n\n<ul>\n\t<li>Usually asymptomatic</li>\n\t<li>If symptoms present these may include CL discomfort, reduced wear time, dryness</li>\n</ul>\n\n<h2>Signs</h2>\n\n<ul>\n\t<li>Punctate disruption of the corneal epithelium (Superficial punctate corneal fluorescein staining)</li>\n</ul>\n\n<h2>Etiology</h2>\n\n<ul>\n\t<li>Indicates mild to moderate disruption of the epithelial surface (damaged cells)</li>\n\t<li>Variety of causes, including over wear, dryness and many other causes</li>\n</ul>\n\n<h2>Prevalence</h2>\n\n<ul>\n\t<li>Common</li>\n</ul>\n\n<h2>Differential Diagnosis</h2>\n\n<ul>\n\t<li><a href=\"/condition/65\">Other staining patterns</a></li>\n\t<li><a href=\"/condition/6\">Ulcer</a>&nbsp;or&nbsp;<a href=\"/condition/1\">abrasion</a>&nbsp;if pain persists</li>\n\t<li><a href=\"/condition/65\">See: Epithelial Fluorescein Staining &ndash; Differential Diagnosis</a></li>\n</ul>\n\n<h2>Management</h2>\n\n<ul>\n\t<li>Remove lens; leave out for the rest of the day (or longer, depending on severity). Add rewetting drops if symptoms present</li>\n\t<li>Reduce wearing time or prescribe new lenses to avoid effect of deposits.</li>\n\t<li>Changing solutions or changing to daily disposables can also be considered</li>\n</ul>",
        "images": [
            {
                "name": "Staining – Superficial Punctate",
                "file": "https://cclm-static.s3.amazonaws.com/images/staining-superficial-punctate-02_zoom.jpg"
            },
            {
                "name": "Staining – Superficial Punctate",
                "file": "https://cclm-static.s3.amazonaws.com/images/staining-superficial-punctate-01_zoom.jpg"
            }
        ],
        "type": 1,
        "videos": [
            {
                "name": "Inferior Superficial Punctate Keratopathy - Fluorescein Stain",
                "videoSrc": "248362274"
            }
        ],
        "wear": true,
        "ceaseWear": true,
        "changeLens": true,
        "changeSolutions": false,
        "changeCare": false,
        "counseling": false,
        "dd": true,
        "dw": false,
        "gp": false,
        "replace": false,
        "review": true,
        "rewettingDrops": true,
        "rx": false,
        "SiHy": true,
        "toric": false,
        "tags": [
            {
                "id": 7,
                "url": "https://cclm.media-doc.io/tags/7/?format=api",
                "name": "conditions"
            }
        ]
    },
    {
        "id": 54,
        "url": "https://cclm.media-doc.io/conditions/54/?format=api",
        "name": "Deposits – Protein",
        "category": "Contact Lens",
        "detail": "<h2>Symptoms</h2>\n\n<ul>\n\t<li>Increased lens awareness</li>\n\t<li>Itchiness - if develop CLPC due to presence of denatured protein</li>\n</ul>\n\n<h2>Signs</h2>\n\n<ul>\n\t<li>Uneven haziness on lens surface</li>\n\t<li>Poor wetting</li>\n\t<li>Palpebral conjunctival changes such as CLPC</li>\n</ul>\n\n<h2>Etiology</h2>\n\n<ul>\n\t<li>Sheets of denatured tear protein on lens surface</li>\n\t<li>Occurs in predisposed individuals</li>\n</ul>\n\n<h2>Prevalence</h2>\n\n<ul>\n\t<li>Low levels are common</li>\n</ul>\n\n<h2>Differential Diagnosis</h2>\n\n<ul>\n\t<li>Other lens deposits</li>\n\t<li>See:&nbsp;<a href=\"/condition/60\">Contact Lens Changes &ndash; Differential Diagnosis</a></li>\n</ul>\n\n<h2>Management</h2>\n\n<ul>\n\t<li>Alter lens care regimen and encourage a rub and rinse step</li>\n\t<li>Replace lenses and ensure patient is compliant with recommended lens replacement intervals</li>\n\t<li>Switch to frequent replacement, daily disposable or GP lenses</li>\n</ul>",
        "images": [
            {
                "name": "Deposits – Protein",
                "file": "https://cclm-static.s3.amazonaws.com/images/protein-deposits.jpg"
            }
        ],
        "type": 1,
        "videos": [],
        "wear": false,
        "ceaseWear": false,
        "changeLens": true,
        "changeSolutions": false,
        "changeCare": true,
        "counseling": true,
        "dd": true,
        "dw": false,
        "gp": false,
        "replace": false,
        "review": false,
        "rewettingDrops": false,
        "rx": false,
        "SiHy": false,
        "toric": false,
        "tags": []
    },
    {
        "id": 33,
        "url": "https://cclm.media-doc.io/conditions/33/?format=api",
        "name": "SICS (solution induced corneal staining)",
        "category": "Cornea",
        "detail": "<p>Solution induced corneal staining (diffuse and annular)</p>\n\n<h2>Symptoms</h2>\n\n<ul>\n\t<li>Frequently asymptomatic</li>\n\t<li>Mild stinging or burning may be experienced on lens insertion and immediately following lens removal</li>\n</ul>\n\n<h2>Signs</h2>\n\n<ul>\n\t<li>Maximal staining often occurs after 2 hours of lens wear</li>\n\t<li>Superficial punctate keratitis, often in an annular pattern</li>\n\t<li>Superficial punctate keratitis may affect the entire corneal surface</li>\n</ul>\n\n<h2>Etiology</h2>\n\n<ul>\n\t<li>Research is ongoing with respect to the cause of SICS</li>\n\t<li>The staining may be indicative of cellular compromise</li>\n\t<li>Some theories suggest that SICS illustrates the binding of fluorescein to epithelial cells, with the contact lens preservative molecule acting as a binding agent</li>\n</ul>\n\n<h2>Prevalence</h2>\n\n<ul>\n\t<li>Common, particularly with FDA group II hydrogels (especially those containing NVP) and SiHy materials when used with preserved care systems</li>\n\t<li>Negligible with hydrogen peroxide and not present with daily disposables</li>\n</ul>\n\n<h2>Differential Diagnosis</h2>\n\n<ul>\n\t<li><a href=\"/condition/30\">Solution sensitivity</a></li>\n\t<li><a href=\"/condition/31\">Solution toxicity</a></li>\n\t<li><a href=\"/condition/69\">Contact lens dryness</a></li>\n</ul>\n\n<h2>Management</h2>\n\n<ul>\n\t<li>Use solutions without added preservatives e.g. Hydrogen peroxide</li>\n\t<li>Rinse lenses with saline prior to insertion; rubbing lenses with the preserved care product prior to storage may also reduce the level of SICS</li>\n\t<li>Select SiHy and disinfection solution combinations known to cause less solution-related corneal staining</li>\n\t<li>Switch to DD lenses</li>\n\t<li>NOTE: If asymptomatic and mild, treatment may not be necessary.</li>\n</ul>",
        "images": [
            {
                "name": "SICS (solution induced corneal staining)",
                "file": "https://cclm-static.s3.amazonaws.com/images/sics-diffuse_zoom.jpg"
            },
            {
                "name": "SICS (solution induced corneal staining)",
                "file": "https://cclm-static.s3.amazonaws.com/images/sics-annular_zoom.jpg"
            }
        ],
        "type": 1,
        "videos": [
            {
                "name": "SICS - Diffuse",
                "videoSrc": "248362240"
            },
            {
                "name": "SICS With/Without a Barrier Filter",
                "videoSrc": "255933001"
            },
            {
                "name": "SICS - Annular",
                "videoSrc": "264431756"
            }
        ],
        "wear": false,
        "ceaseWear": false,
        "changeLens": true,
        "changeSolutions": false,
        "changeCare": true,
        "counseling": true,
        "dd": true,
        "dw": false,
        "gp": false,
        "replace": false,
        "review": true,
        "rewettingDrops": false,
        "rx": false,
        "SiHy": false,
        "toric": false,
        "tags": []
    },
    {
        "id": 20,
        "url": "https://cclm.media-doc.io/conditions/20/?format=api",
        "name": "Infiltrates – Infiltrative Keratitis",
        "category": "Cornea",
        "detail": "<p>Marginal keratitis, asymptomatic infiltrative keratitis, marginal infiltrate, sterile infiltration</p>\n\n<h2>Symptoms</h2>\n\n<ul>\n\t<li>Minor infiltrates may be asymptomatic</li>\n\t<li>Discomfort, foreign body sensation</li>\n\t<li>Redness</li>\n\t<li>Mild photophobia</li>\n\t<li>Symptoms reduce on lens removal</li>\n</ul>\n\n<h2>Signs</h2>\n\n<ul>\n\t<li>Single or multiple circular infiltrates in epithelium or anterior stroma</li>\n\t<li>May be unilateral or bilateral</li>\n\t<li>Localized bulbar and/or limbal hyperemia adjacent to infiltrates</li>\n\t<li>Overlying epithelium generally does not stain</li>\n</ul>\n\n<h2>Etiology</h2>\n\n<ul>\n\t<li>Inflammatory reaction resulting in accumulation of white blood cells in cornea</li>\n\t<li>Response to hypoxia, chemical toxicity, cellular debris, allergens, denatured protein, exotoxins and/or endotoxins from bacteria</li>\n</ul>\n\n<h2>Prevalence</h2>\n\n<ul>\n\t<li>Infrequent</li>\n</ul>\n\n<h2>Differential Diagnosis</h2>\n\n<ul>\n\t<li><a href=\"/condition/24\">Microbial keratitis</a></li>\n\t<li>Adenoviral infection</li>\n\t<li><a href=\"/condition/6\">CLPU</a></li>\n\t<li><a href=\"/condition/66\">See: Infiltrates and Opacities &ndash; Differential Diagnosis</a></li>\n</ul>\n\n<h2>Management</h2>\n\n<ul>\n\t<li>Remove cause of inflammatory response</li>\n\t<li>In severe cases, discontinue lens wear until infiltrate totally resolves</li>\n\t<li>Prophylactic antibiotic may be prescribed</li>\n\t<li>Mild steroid may be prescribed</li>\n\t<li>Treat blepharitis if present</li>\n\t<li>Review within 1 week. Resolution may require &gt; 2 weeks</li>\n\t<li>May change to DW, change to a higher Dk lens, increase lens replacement frequency (DD), change care system</li>\n</ul>",
        "images": [
            {
                "name": "Infiltrates – Infiltrative Keratitis",
                "file": "https://cclm-static.s3.amazonaws.com/images/infiltrates-keratitis_zoom.jpg"
            }
        ],
        "type": 1,
        "videos": [
            {
                "name": "Infiltrates (Central and Fine)",
                "videoSrc": "248362050"
            },
            {
                "name": "Infiltrates (Diffuse and Peripheral)",
                "videoSrc": "255934350"
            }
        ],
        "wear": false,
        "ceaseWear": true,
        "changeLens": true,
        "changeSolutions": false,
        "changeCare": true,
        "counseling": false,
        "dd": false,
        "dw": false,
        "gp": false,
        "replace": false,
        "review": true,
        "rewettingDrops": false,
        "rx": false,
        "SiHy": true,
        "toric": false,
        "tags": []
    },
    {
        "id": 30,
        "url": "https://cclm.media-doc.io/conditions/30/?format=api",
        "name": "Lens Solution Sensitivity",
        "category": "Cornea",
        "detail": "<h2>Symptoms</h2>\n\n<ul>\n\t<li>Itching, burning and /or stinging</li>\n\t<li>Redness</li>\n</ul>\n\n<h2>Signs</h2>\n\n<ul>\n\t<li>Bilateral conjunctival hyperemia. Sometimes a pannus of blood vessels infiltrating the cornea may be observed</li>\n</ul>\n\n<h2>Etiology</h2>\n\n<ul>\n\t<li>Any preservative can potentially lead to an immune reaction and sensitization may take months or years</li>\n\t<li>Most common with hydrogel lens wear</li>\n\t<li>Rapid reaction after lens insertion in sensitized patients; infiltrates may be seen within 24 hours</li>\n</ul>\n\n<h2>Prevalence</h2>\n\n<ul>\n\t<li>Rare with modern preservatives</li>\n</ul>\n\n<h2>Differential Diagnosis</h2>\n\n<ul>\n\t<li><a href=\"/condition/31\">Solution Toxicity</a></li>\n\t<li><a href=\"/condition/20\">Infiltrates/Marginal Keratitis</a></li>\n\t<li>Topical drug reaction</li>\n\t<li><a href=\"/condition/66\">See: Infiltrates and Opacities &ndash; Differential Diagnosis</a></li>\n</ul>\n\n<h2>Management</h2>\n\n<ul>\n\t<li>Use non-preserved solutions and/or hydrogen peroxide based solutions</li>\n\t<li>Ensure lenses are replaced at appropriate intervals</li>\n\t<li>Redness and irritation usually subside within 48 hours of lens removal; infiltrates take at least one week to resolve. Vessel infiltration will take months to resolve</li>\n\t<li>Cease lens wear until infiltrates resolve (if present)</li>\n\t<li>Consider minimal maintenance options such as DD lenses</li>\n</ul>",
        "images": [
            {
                "name": "Lens Solution Sensitivity",
                "file": "https://cclm-static.s3.amazonaws.com/images/lens-solution-sensitivity_zoom.jpg"
            }
        ],
        "type": 1,
        "videos": [],
        "wear": false,
        "ceaseWear": true,
        "changeLens": false,
        "changeSolutions": false,
        "changeCare": true,
        "counseling": false,
        "dd": true,
        "dw": false,
        "gp": false,
        "replace": false,
        "review": true,
        "rewettingDrops": false,
        "rx": false,
        "SiHy": false,
        "toric": false,
        "tags": []
    },
    {
        "id": 80,
        "url": "https://cclm.media-doc.io/conditions/80/?format=api",
        "name": "K. Full Anterior Eye Examination",
        "category": "Biomicroscope",
        "detail": "<h2>&nbsp;</h2>\n\n<h2>Overview</h2>\n\n<ul>\n\t<li>A full examination of the anterior eye involves combining a number of the individual viewing techniques</li>\n\t<li>The biomicroscope routine&nbsp;typically flows seamlessly from one viewing technique to the next</li>\n\t<li>The structures of the anterior eye&nbsp;are assessed in a methodical manner</li>\n\t<li>Typically, a general overview of the eye and contact lens is followed by more detailed examination of specific tissues</li>\n\t<li>It is usual practice to start with checks that are less invasive, proceeding to more invasive examinations, such as upper lid eversion and use of diagnostic dyes, later in the routine&nbsp;&nbsp;</li>\n</ul>\n\n<h2>&nbsp;</h2>\n\n<h2>Set Up</h2>\n\n<ul>\n\t<li>The overall routine will vary due to both practitioner preference and the needs of the patient</li>\n\t<li>The video gives one example of how the individual biomicroscope viewing techniques can be used together</li>\n\t<li>A general overview using diffuse illumination is followed by higher magnification direct and indirect examination, prior to the administration of diagnostic dyes as required</li>\n</ul>\n\n<p>&nbsp;</p>",
        "images": [
            {
                "name": "Full Anterior Eye Examination",
                "file": "https://cclm-static.s3.amazonaws.com/images/full_exam_comp_4nLvYrU.jpg"
            }
        ],
        "type": 1,
        "videos": [
            {
                "name": "Full Anterior Eye Examination",
                "videoSrc": "267426442"
            }
        ],
        "wear": false,
        "ceaseWear": false,
        "changeLens": false,
        "changeSolutions": false,
        "changeCare": false,
        "counseling": false,
        "dd": false,
        "dw": false,
        "gp": false,
        "replace": false,
        "review": false,
        "rewettingDrops": false,
        "rx": false,
        "SiHy": false,
        "toric": false,
        "tags": [
            {
                "id": 7,
                "url": "https://cclm.media-doc.io/tags/7/?format=api",
                "name": "conditions"
            }
        ]
    }
]